盆腔炎包块

【讨论】盆腔包块,请问诊断是什么?
图片尺寸2816x2112![盆腔巨大包块,上达脐上,下至盆腔 [病例帖]](https://i.ecywang.com/upload/1/img2.baidu.com/it/u=167818858,3165809019&fm=253&fmt=auto&app=138&f=JPEG?w=375&h=500)
盆腔巨大包块,上达脐上,下至盆腔 [病例帖]
图片尺寸1080x1440
【讨论】盆腔包块,请问诊断是什么?
图片尺寸2816x2112
【讨论】盆腔囊性包块 病史资料完整(有病理结果)
图片尺寸640x480![盆腔巨大包块,能忍成这样也是厉害 [病例帖]](https://i.ecywang.com/upload/1/img2.baidu.com/it/u=2315598725,3858483372&fm=253&fmt=auto&app=138&f=JPEG?w=375&h=500)
盆腔巨大包块,能忍成这样也是厉害 [病例帖]
图片尺寸1080x1440
我院妇产科成功为患者摘除盆腔内巨大包块
图片尺寸720x540
我院妇产科成功为患者摘除盆腔内巨大包块
图片尺寸720x1280
下腹盆腔内巨大包块
图片尺寸2592x1944
惊险永康一男子盆腔内长了拳头大的肿块
图片尺寸640x438
30 cm 巨大盆腔肿块竟是寄生性子宫肌瘤
图片尺寸492x324
盆腔包块
图片尺寸1280x1706
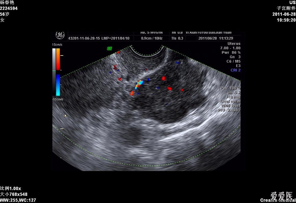
大家看看这个盆腔包块是什么?
图片尺寸1164x799
巨大盆腔包块—-卵巢癌
图片尺寸828x1104
盆腔炎77包块真的是哭死
图片尺寸1080x1439
一罕见病例下腹部包块报告 讨论
图片尺寸1536x2304
腹壁外侧包块有固定压痛
图片尺寸300x220
盆腔包块,你了解多少?
图片尺寸1080x1114
女性腹胀2月余并发现腹盆腔包块请诊断
图片尺寸600x703
下腹盆腔内巨大包块.
图片尺寸1024x768
下腹部包块大家考虑什么有随访结果
图片尺寸957x738