盆腔ct定位线图片

男性盆腔ct断层
图片尺寸489x240
正常女性盆腔ct解剖诊断图片,ct教学图解图谱,如何看怎么看,下载讲解
图片尺寸599x282
盆腔ct平扫
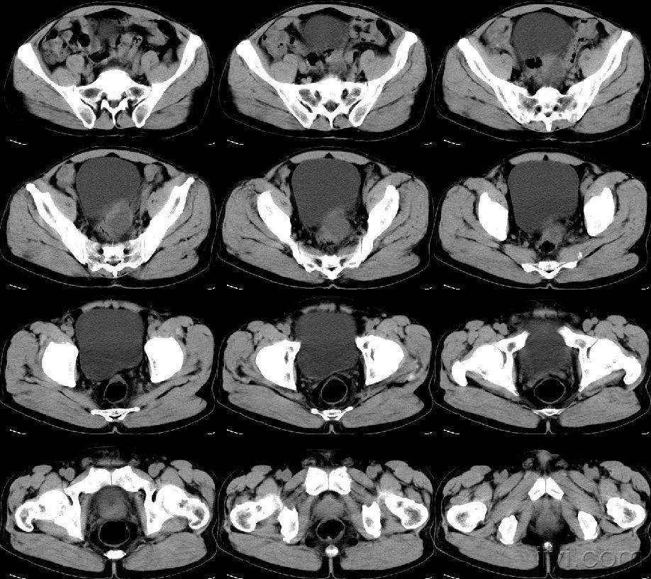
图片尺寸908x908
盆腔ct解剖,异常要在正常解剖上寻找 转载图片于"影像园"需 - 抖音
图片尺寸763x820
孝敬镇卫生院dr机建设完成
图片尺寸2667x2000
盆腔ct
图片尺寸2448x3264
盆腔ct诊断课件
图片尺寸800x600
平扫是为了明确盆腔的病变而做的ct的基本检查方法,对于病变的定位
图片尺寸512x512
盆腔ct诊断课件
图片尺寸800x600
741238 盆腔占位 ct
图片尺寸1180x840
盆腔ct诊断
图片尺寸1080x810
腹部ct入门解剖图谱收藏版
图片尺寸1080x810
女性盆腔水平断面解剖图谱,ct及mri女性盆腔的典型横断面解剖女性盆腔
图片尺寸1080x810
腹部盆腔ct断层 microsoft word 文档
图片尺寸600x337
发一个我晚上急诊外伤的首次发病例多支持一下
图片尺寸1016x1020
盆腔占位/ct/公布结果/100128
图片尺寸918x816
术前骨盆ct三维重建
图片尺寸2667x2000
高手帮忙看下片子
图片尺寸2592x1728
女性盆腔断层解剖彩色图谱 第8页 (共28页,当前第8页) 你可能喜欢 ct
图片尺寸893x1263
刘女士盆腔增强ct(红圈内灰色部分均为膀胱肿瘤)
图片尺寸1000x1000