直肠影像解剖图

(图) 大肠的x线像(前后位)-人体解剖组织学-医学
图片尺寸1672x1290
8 盲肠,9 乙状结肠,10 阑尾,11 直肠 十一,直肠 图22 直肠解剖示意图
图片尺寸634x650
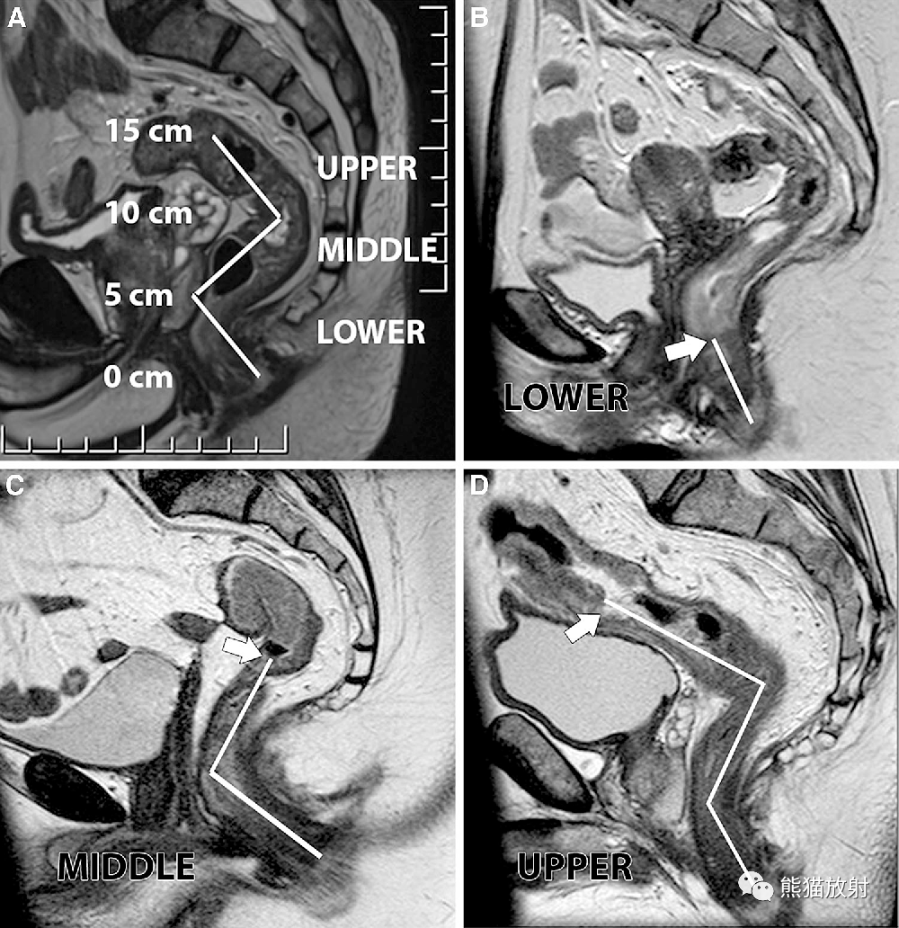
技术 2:直肠高分辨磁共振扫描
图片尺寸640x461
精准诊疗,影像先行 ——磁共振影像下的肛管直肠瘘
图片尺寸1080x1080
图a:直肠从肛管延伸至直肠乙状结肠交界处约15cm,分为下段(0-5cm),中
图片尺寸1000x1032
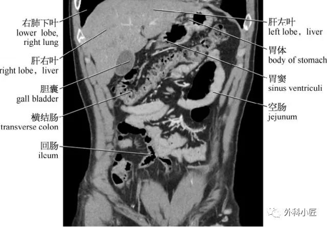
46组对比图带你完全掌握腹部影像解剖_医学界-助力医生临床决策和职业
图片尺寸640x429
结直肠肿瘤的影像诊断课件
图片尺寸920x690
腹部影像图例结直肠篇
图片尺寸587x544
影像科直呼不敢做……|ct|结肠镜|息肉|直肠_网易订阅
图片尺寸660x598
腹部影像图例结直肠篇
图片尺寸693x690
精品推荐医学影像诊断ppt课件图文详解完整版-急腹症影像诊断学
图片尺寸1080x810
直肠环周切缘
图片尺寸900x798
46组对比图带你完全掌握腹部影像解剖_医学界-助力医生临床决策和职业
图片尺寸640x445
乙状结肠解离点直肠上界的新定义
图片尺寸1080x357
腹部影像图例结直肠篇
图片尺寸585x503
直肠 –第 33 页– 影像ppt
图片尺寸512x512
磁共振直肠扫描一
图片尺寸559x446
直肠胃肠道间质瘤影像诊断
图片尺寸1080x607
观察直肠前壁观察直肠后方观察肠粘膜观察标记物观察残留物数量与前一
图片尺寸3264x2448
结直肠解剖图(腹部影像图例结直肠篇)(1)
图片尺寸640x464