直肠癌ct图片

直肠癌一例
图片尺寸1536x2048
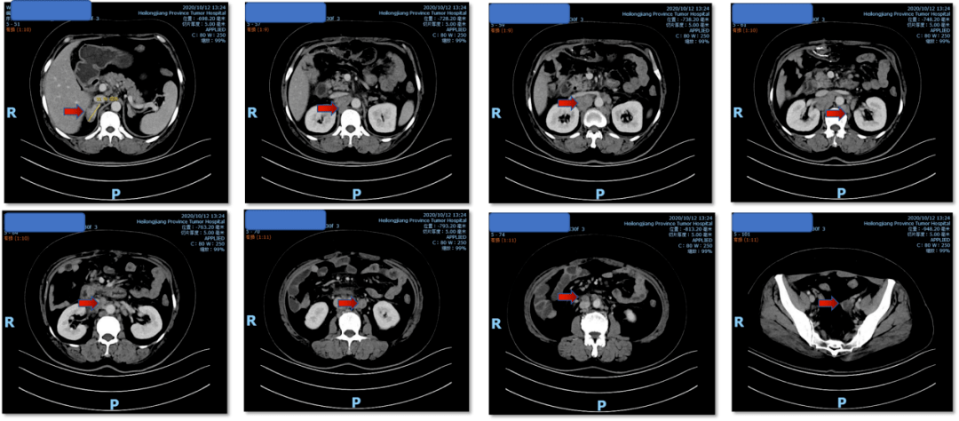
肿瘤病灶术前ct:箭头所指为左侧盆腔侧方淋巴结患者为局部晚期直肠癌
图片尺寸1012x654
及局部放疗,治疗后盆腔ct如下,最终完成腹腔镜直肠癌根治术(保肛低位
图片尺寸1868x1408
【规范与共识】结直肠癌ct和mri标注专家共识(2020)
图片尺寸719x488
其它 外一18床 韩凤军 直肠癌病情汇报 写美篇腹部强化ct动脉期表现
图片尺寸2667x2000
【病例】结肠癌1例ct影像表现
图片尺寸512x512
直肠癌一例
图片尺寸1536x2048
直肠癌"恶魔"侵袭全身,54岁女患者命悬一线
图片尺寸952x659
直肠癌的影像诊断
图片尺寸2000x2667
岂有此例丨dfs超过5年首个单中心转移性晚期结直肠癌系列病例分享
图片尺寸507x368![【读片】肠道肿瘤(ct),有病理. [病例帖]](https://i.ecywang.com/upload/1/img0.baidu.com/it/u=1500729916,497058467&fm=253&fmt=auto&app=138&f=JPEG?w=500&h=937)
【读片】肠道肿瘤(ct),有病理. [病例帖]
图片尺寸1250x2342
爱无止境优young好医声呋喹替尼为晚期结直肠癌后线治疗提供更多选择
图片尺寸1080x474
为结肠重复癌",刘汉涛最终确定治疗方案为先行腹腔镜乙状结肠癌根治术
图片尺寸1080x1080
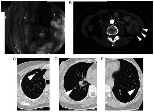
新辅助免疫治疗在 dmmr/msi-h 结直肠癌转化治疗中的疗效如何?
图片尺寸1080x652![【读片】直肠病变,已手术,结果已公布! [病例帖]](https://i.ecywang.com/upload/1/img0.baidu.com/it/u=2278106316,802879794&fm=253&fmt=auto&app=138&f=JPEG?w=500&h=500)
【读片】直肠病变,已手术,结果已公布! [病例帖]
图片尺寸1024x1024
直肠间质瘤不同于直肠癌,也不同于胃和小肠间质瘤.
图片尺寸640x437
瑞意前行|靶免联合治疗结直肠癌病例分享_周期
图片尺寸500x332
万例鉴肠程结直肠癌病例郑州大学第一附属医院高明
图片尺寸932x396
直肠少见恶性肿瘤的ct表现
图片尺寸825x676
67岁男子9年直肠癌抗战史!
图片尺寸660x344