眼球中央凹

病理性 甲亢/高度近视等造成眼球凸出,导致眼窝显得凹陷
图片尺寸1080x543
中央凹
图片尺寸917x640
d. 中央凹
图片尺寸640x537
那个黑色中的亮点就是中央凹
图片尺寸640x503
一分钟一个小知识,鹰的视力为什么这么强
图片尺寸640x480
它富含叶黄素,中央有个凹陷处,称为中央凹,含有最高密度的视觉细胞
图片尺寸600x431
黄斑 中央凹 盲点
图片尺寸1080x810
预防近视吃点叶黄素有帮助吗
图片尺寸474x406
黄斑区内的中央凹和它周围的副中央凹,图片来源:嘉宾提供
图片尺寸1000x563
光线通过眼球聚焦于视网膜业时个央凹,视网膜业时感光细胞具来感受野
图片尺寸2560x1426
人类眼球中中央凹的位置
图片尺寸476x480
虹膜 巩膜 睫状体 晶状体 玻璃体 中央凹 视神经 组胚 郑敏
图片尺寸1080x810
因此眼睛所注视的目标投影于黄斑区的中央凹处
图片尺寸641x551
那是因为我们的眼球是不断移动的,对中央凹收集到分辨率的视觉信号
图片尺寸640x434
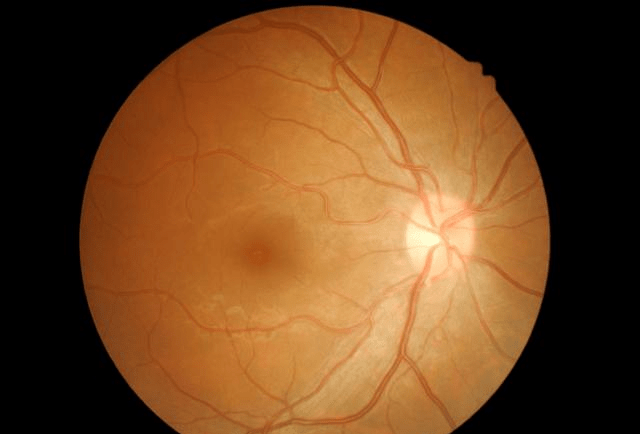
绿色箭头:黄斑和中央凹,为视觉最敏锐的地方,反而血管最小,最少!
图片尺寸1104x750
飞桨常规赛黄斑中央凹定位gamma挑战赛任务二11月第3名方案
图片尺寸1233x670
视网膜的中央有一直径约5mm的区域称为黄斑,其中央有一小凹为黄斑中心
图片尺寸1518x545
而视锥细胞主要集中在视网膜的中心部位——中央凹,提供高分辨率的
图片尺寸454x282
房水,晶状体和玻璃体,使物像聚焦在视网膜中央凹部位
图片尺寸450x300
黄斑中央的凹陷称为中央凹,是视力最敏锐的地方,负责视觉和色觉的视锥
图片尺寸640x341