眼角黄脂肪瘤图片大全

我妈两个眼角内侧长有指甲盖大小白黄色的东西,有图片,请各位大虾,好
图片尺寸500x375
眼皮脂肪瘤
图片尺寸993x663
1种粗粮炒过泡水喝,通血管除脑梗 甘油三脂是判断血液中脂肪浓度的
图片尺寸640x342
皮样脂肪瘤
图片尺寸300x168
我昨天刚刚收集的双眼结膜脂肪瘤
图片尺寸4000x2664
结膜皮样瘤和皮样脂肪瘤_结膜皮样脂肪瘤_结膜皮样脂肪瘤症状表现
图片尺寸512x384
我也来一个男性73岁右眼外眦部一肿物5年逐渐增大1年
图片尺寸240x320
眼角上长了个凸起脂肪瘤有图慎入
图片尺寸650x497
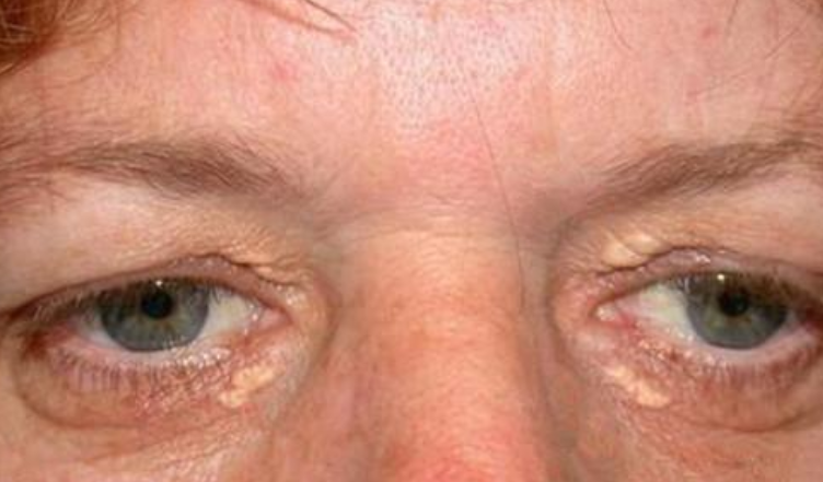
1. 眼睑:长出"黄色瘤"脸上长这两个东西是高血脂信号!
图片尺寸598x448
下面附一个皮样脂肪瘤照片供大家参考(可惜以前有许多病人没能留下
图片尺寸3264x2448
我昨天刚刚收集的双眼结膜脂肪瘤
图片尺寸1872x3328
眼角上长了个凸起脂肪瘤有图慎入
图片尺寸650x444
的情况,高血脂早期的表现并不明显,但一般情况下,眼部出现 黄色瘤和
图片尺寸400x250
我昨天刚刚收集的双眼结膜脂肪瘤
图片尺寸4032x3024
胆固醇高不高,眼睛先知道?胆固醇偏高的人,多半有这4个表现
图片尺寸752x441
眼角脂肪粒
图片尺寸1080x1439
24男性患者,图中的是结膜脂肪瘤,与结膜皮样脂肪瘤一样吗?
图片尺寸960x693
我的皮样脂肪瘤是长在左眼,它像一块没用的肉,覆盖在眼睛里,眼角可以
图片尺寸846x509
眼眶脂肪肉瘤
图片尺寸500x264
身体四肢皮肤表面或者肌腱部位大多会首先出现,类似于肿瘤样或者斑
图片尺寸640x399