睫毛蠕形螨

女子睫毛里发现近十条螨虫
图片尺寸1919x1067
毛囊蠕形螨虫属于寄生虫,不是细菌或病毒,若不治疗可能造成毛囊发炎
图片尺寸600x420
注意了你的眼里可能有螨虫长沙一女子睫毛长出十多条螨虫医生建议勿
图片尺寸720x1280
关注眼部蠕形螨
图片尺寸785x600
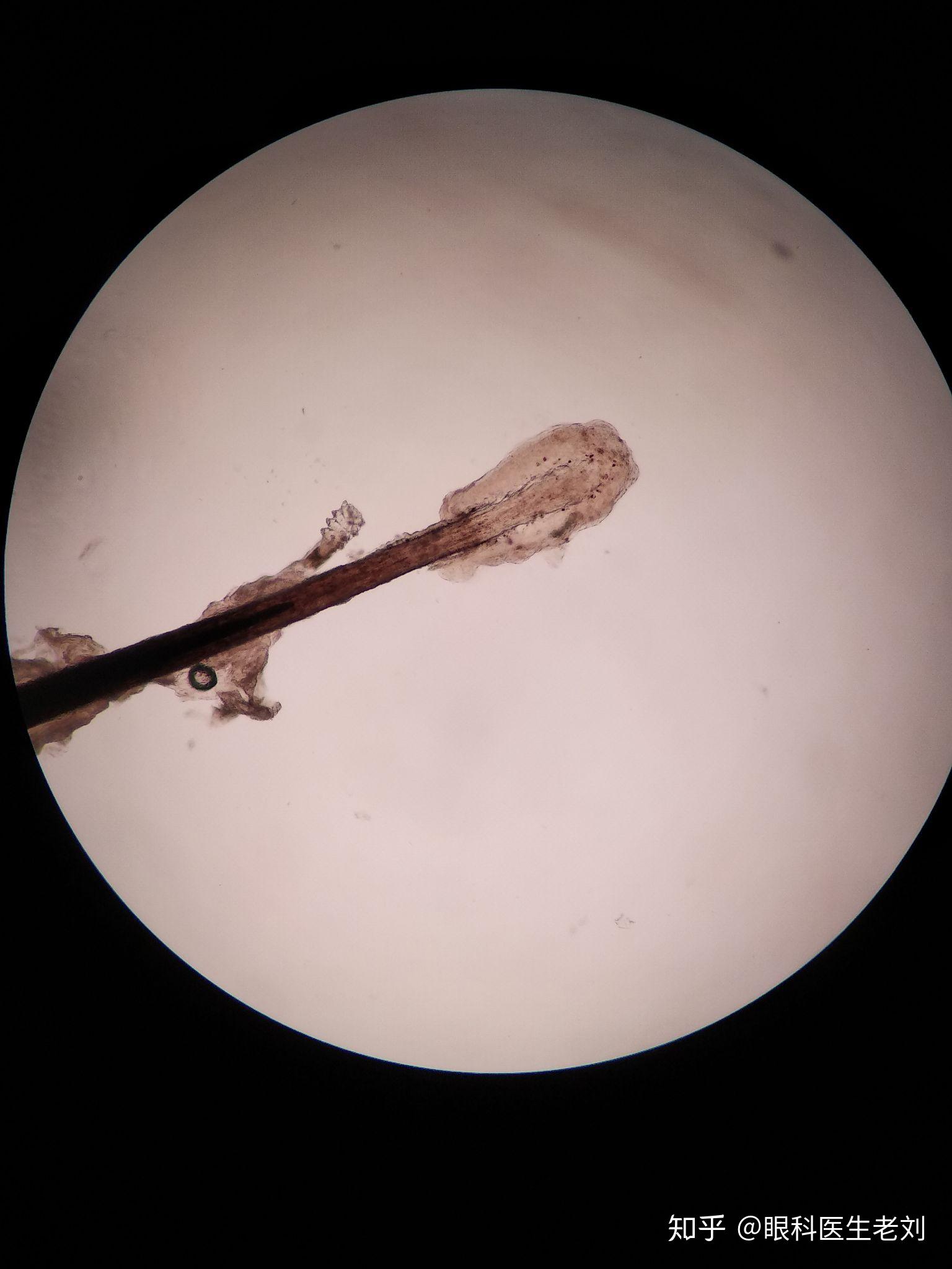
睫毛根部的蠕形螨 - 知乎
图片尺寸1536x2048
寄生在眼睫毛上的蠕形螨
图片尺寸800x687
图为显微镜下生长在睫毛根部的蠕形螨.供图
图片尺寸540x371
omg睫毛上竟有螨虫在蠕动眼睛干痒的你一定要看看
图片尺寸476x344
睫毛根部蠕形螨感染
图片尺寸1405x936
痒痒痒,女童睫毛里竟藏21条螨虫|睑板|蠕形螨|分泌物_网易订阅
图片尺寸440x264
大家最关心的问题感染了蠕形螨该如何治疗呢?
图片尺寸640x480
一根睫毛藏有4只螨虫你以为的沙眼没那么简单
图片尺寸699x1000
眼睛也有螨虫~ 什么是蠕形螨 在眼部,毛囊蠕形螨常寄居于睫毛囊抖
图片尺寸348x317
种睫毛眼部螨虫感染专家提醒出现这些症状或已中招
图片尺寸329x252
睫毛上的隐形杀手蠕形螨
图片尺寸640x362
蠕形螨最喜欢待在人的睫毛和皮肤了,特别是老年人,70岁以上的老年人群
图片尺寸640x420
睫毛根部可见活动性蠕形螨(箭头所示) 山东省眼科医院角膜病科 孙秀丽
图片尺寸480x360
蠕形螨寄生于睫毛毛囊及皮脂腺内,刺吸皮脂腺,角质蛋白为食,并可吞食
图片尺寸1080x435
千里目眼科专家指出,应对蠕形螨的起点,自然是及时且准确的诊断
图片尺寸1080x542
通过显微镜检查,发现患者双眼睫毛内寄生了大量蠕形螨,有的单个毛囊里
图片尺寸390x520