矢状窦ct图片

矢状窦旁脑膜瘤
图片尺寸2449x2449
矢状位ct片
图片尺寸640x1138
【请教】大家帮忙看看上矢状窦里是什么
图片尺寸512x512
贺晓生教授矢状窦大脑镰旁脑膜瘤的治疗
图片尺寸930x697
头颅ct解剖图片ppt
图片尺寸1080x810
矢状位
图片尺寸2000x2667
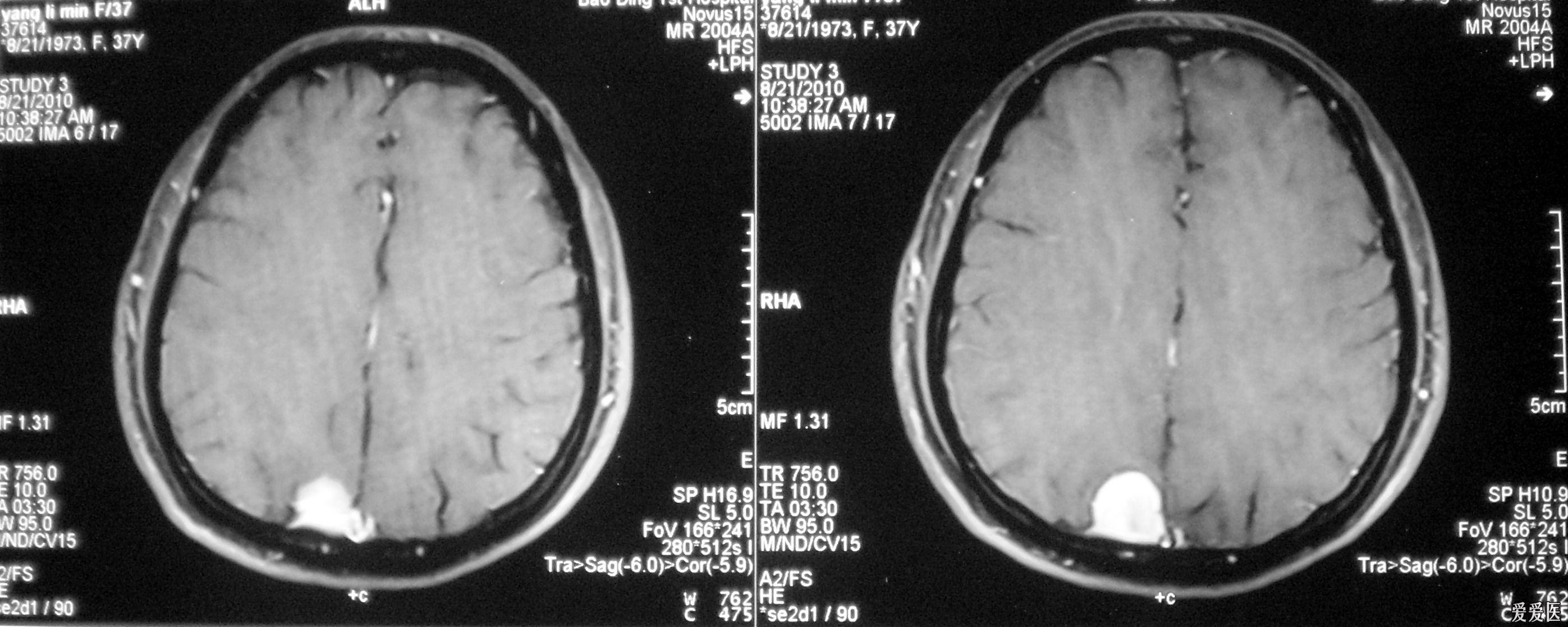
矢状窦旁多发占位脑膜瘤
图片尺寸2794x1117
与"上矢状窦"相关手术病例分享
图片尺寸1440x1080
矢状位t2wi
图片尺寸996x1174
尾状核 体状核 岛叶 丘脑 穹窿体 侧脑室后角 扣带回 大脑镰 上矢状窦
图片尺寸1080x810
其它 紧急抢救:矢状窦静脉血栓 写美篇查头颅ct:窦汇,横窦高密度影浓
图片尺寸3954x1383
24岁小伙经常性不喝水患矢状窦静脉血栓险丧命
图片尺寸1080x566
ct矢状位
图片尺寸1200x1600
头颅ct可见上矢状窦及右侧横窦高密度征
图片尺寸2000x2490
患者女性,11岁,飞石击伤1天,ns(一),ct表现如下,是否手术,术中矢状窦
图片尺寸1706x1280
ct表现:枕部旁上矢状窦内可见血管断面影(图1-5,1-6),其上一层面
图片尺寸512x452
贺晓生教授矢状窦大脑镰旁脑膜瘤的治疗
图片尺寸930x697
ctv检查,上矢状窦缺损.
图片尺寸1456x1568
与图6相同的患者的矢状面ct图像,显示了椎管狭窄和颅底凹陷,伴有椎管
图片尺寸800x704
一例矢状窦旁脑膜瘤术前手术术后
图片尺寸2048x1536