矫正案例

隐形矫正 扩弓,牙齿拥挤少女收获甜美笑容 - 贝致案例库 - 贝致
图片尺寸1690x898
龅牙露龈笑牙齿矫正案例
图片尺寸1134x1084
贝致案例库 > 虎牙少女矫正,这才是牙齿本来的模样!
图片尺寸1000x1524
成人骨性地包天伴牙周炎矫正案例
图片尺寸1134x1463
案例分享儿童牙齿不齐拥挤矫正案例
图片尺寸1440x1872
30岁大姐姐 分享舌侧矫正经历
图片尺寸570x785
毕业攒钱矫正,严重嘴突少女变侧颜女神 - 贝致案例库 - 贝致——专业
图片尺寸805x1599
龅牙龅牙嘴突矫正案例_龅牙_牙齿矫正_深覆合_拔牙_恒美口腔牙齿
图片尺寸1080x1152
矫正迫在眉睫 - 贝致案例库 - 贝致——专业口腔服务平台,权威医生
图片尺寸1000x1975
苏州牙齿矫正牙齿畸形隐适美矫正案例
图片尺寸4608x3456
真人案例地包天矫正案例分享
图片尺寸1024x512
24个月矫正骨性前突,还少女温柔侧颜 - 贝致案例库 - 贝致——专业
图片尺寸617x1257
正畸案例解析丨隐形牙套不能矫正骨性嘴突,深覆合,露龈微笑?
图片尺寸1728x1080
透明牙齿矫正案例对比
图片尺寸701x236
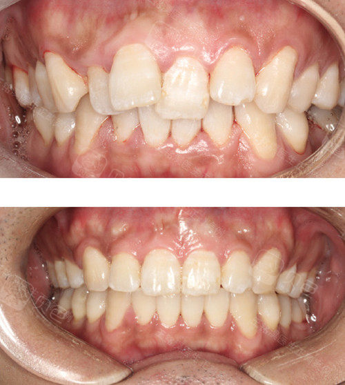
杭州牙齿矫正医生推荐,美奥口腔王铭淏医生舌侧矫正案例!
图片尺寸500x558
太原牙齿矫正于立涛上颌前突下前牙舌倾正畸案例
图片尺寸1301x1080
贝致案例库 > 非拔牙矫正,504 天还你饱满笑容!
图片尺寸1242x1978
5种牙齿畸形症状的牙齿矫正前后对比案例分析论选对医生的重要性
图片尺寸1080x1439
苏州正畸隐适美牙齿矫正案例分享
图片尺寸4608x3456
牙齿矫正案例上唇凹陷牙列不齐
图片尺寸1134x1270