矫正牙齿拔牙

为什么有的人做牙齿矫正需要拔牙
图片尺寸6942x4628
牙齿矫正要先拔牙吗?能不能尽量不拔牙?
图片尺寸500x500
拔牙矫正牙齿收缝全过程!-深圳五洲中医院
图片尺寸1080x675
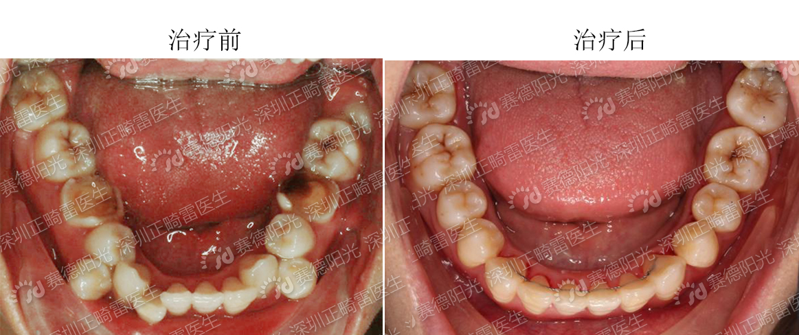
正大华盛一例即刻拔牙即刻种植手术
图片尺寸4032x3020
正畸:成人拔牙矫治,矫治后嘴凸改善明显.#牙齿矫正 #隐形牙 - 抖音
图片尺寸858x493
牙齿矫正拔牙
图片尺寸1080x1440
缺牙处的牙槽骨会继续生长充满拔牙间隙,矫正时拔牙处左右两边的牙齿
图片尺寸1163x488
牙齿矫正拔牙有什么利与弊?牙齿矫正伤牙吗?答案马上揭晓
图片尺寸640x479
牙齿矫正拔牙正畸
图片尺寸600x382
隐形矫正拔牙病例2例 - 好大夫在线
图片尺寸2560x1440
牙齿矫正--拔牙(一)
图片尺寸1080x1439
牙齿矫正拔牙恢复篇有图可能有点血腥
图片尺寸2048x1666
牙齿矫正为什么要拔牙?
图片尺寸378x272
郑州牙齿矫正到底要不要拔牙,为什么有的人_拔牙_牙齿矫正_郑州_美妆
图片尺寸1000x740
牙齿矫正拔牙恢复篇有图可能有点血腥
图片尺寸2048x1405
拔牙
图片尺寸500x341
矫正拔牙_拔牙_拔草_牙齿矫正_医疗健康_小红书
图片尺寸1080x1080
拔下切牙矫正-牙套日记-第2页-牙套之家|牙齿矫正 中国最大的牙齿矫正
图片尺寸1242x1654
拔牙_牙齿矫正|福州种植牙中心|福州隐形矫正中心|福州牙科医院_福州
图片尺寸995x663
矫正拔牙,老了以后牙齿会松动吗?
图片尺寸690x307