矫正牙齿效果图

扬州牙列拥挤的治疗原则是怎样的
图片尺寸1057x780
矫正案例分享牙齿拥挤
图片尺寸3106x4096
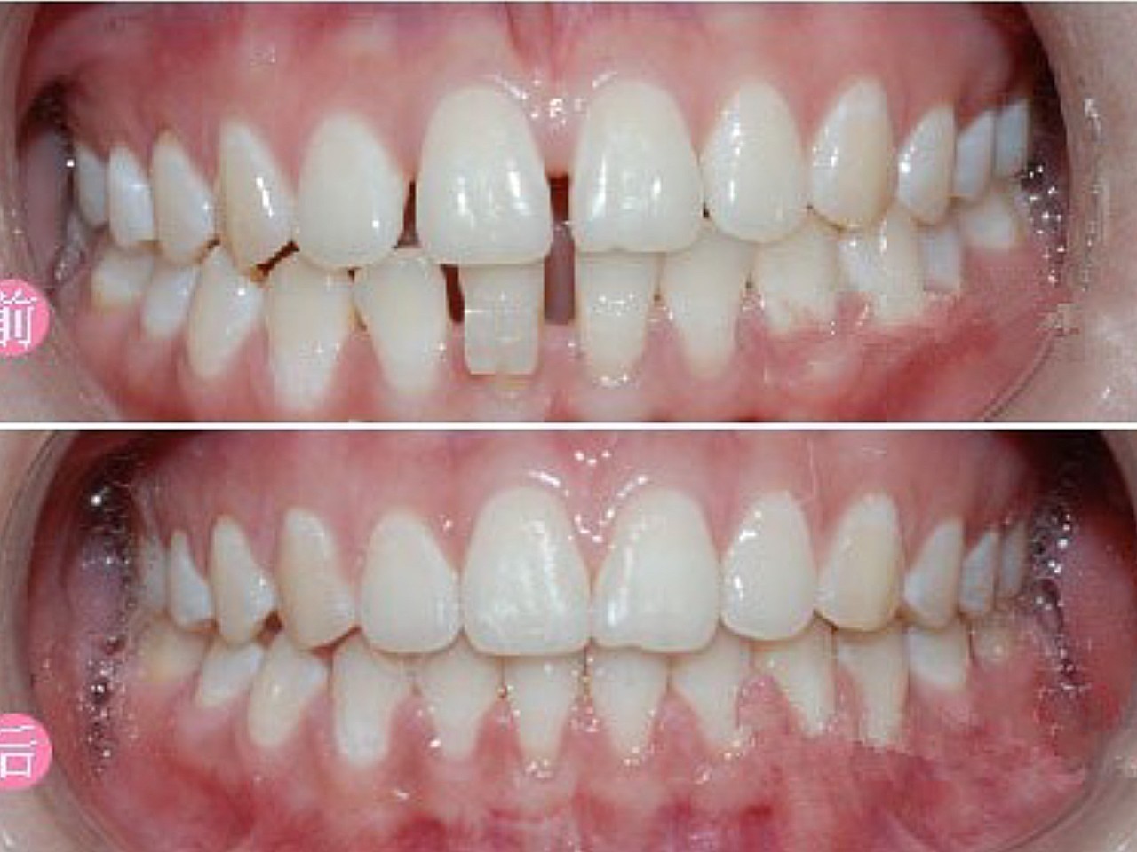
透明牙齿矫正案例对比
图片尺寸701x236
大龄女青年矫正牙齿效果,我来告诉你自锁牙套矫正效果如何!
图片尺寸450x450
整牙经验2年牙齿矫正结束,效果堪称完美!
图片尺寸1080x1438
成人骨性双颌前突,牙齿矫正效果惊艳!
图片尺寸750x1259
湛江博观上善牙齿矫正多少钱?牙齿矫正价格表
图片尺寸6720x4480
旗人民医院口腔科牙齿矫正进行中
图片尺寸2667x2000
舟山牙科价目表解答了矫正牙齿要多少钱及做种植牙的价格
图片尺寸600x338
牙齿畸形不矫正真的没关系吗
图片尺寸450x306
成年人牙齿矫正的利与弊!
图片尺寸500x322
牙齿矫正做的很好对比了几家选择的性价比也不错
图片尺寸1280x960
广州男孩金属牙齿矫正前后对比令人出乎意料
图片尺寸1080x1350
合肥隐形牙齿矫正要多少钱?
图片尺寸500x272
2017年10月1日,三百山李小龙口腔诊所,开始透明陶瓷槽托牙齿矫正
图片尺寸1086x2200
武汉壹加壹医疗美容医院周宁牙齿矫正案例
图片尺寸3264x2176
韩国安特丽牙科牙齿矫正对比案例
图片尺寸945x915
2017年10月1日,三百山李小龙口腔诊所,开始透明陶瓷槽托牙齿矫正
图片尺寸2187x1057
厦门牙齿矫正3月案例精选
图片尺寸4017x2478
矫正牙齿的效果图片
图片尺寸656x804