矫正矫正

成人正畸:需要坚持才会蜕变的矫正时期
图片尺寸790x503
深圳牙齿矫正器多少钱
图片尺寸1280x853
旗人民医院口腔科牙齿矫正进行中
图片尺寸2667x2000
矫正案例分享牙齿拥挤
图片尺寸3106x4096
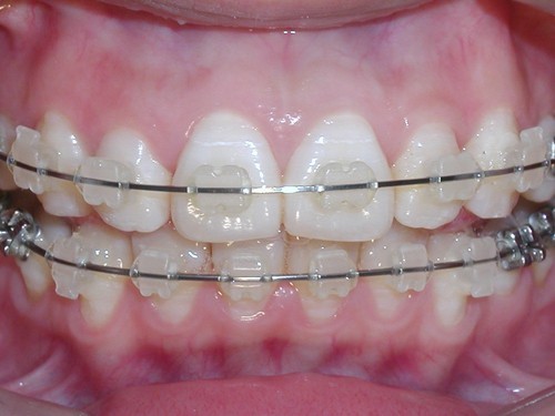
普通钢丝托槽矫正
图片尺寸411x282
隐形牙齿矫正
图片尺寸500x375
固定矫治器的选择
图片尺寸1600x1181
矫正带坐姿矫正器钢骨支撑背部固定矫姿带开肩防驼背矫正器纠正带
图片尺寸800x800
矫正牙齿戴牙套会痛吗
图片尺寸900x609
如何才能选到合适的矫正器牙齿矫正矫治器很重要
图片尺寸781x969
为什么要进行二次矫正?
图片尺寸640x427
玉山矫正牙齿可能会有的问题
图片尺寸540x394
修正隐形正畸矫正只做下排牙是异想天开吗
图片尺寸1080x712
快速矫正 改善前牙错咬案例 雅偲牙医 牙齿矫正林升进医师
图片尺寸600x400
普通金属托槽矫正价格 进口金属托槽矫正价格_牙齿矫正_金属托槽矫正
图片尺寸600x400
戴隐形牙齿矫正器会不会疼
图片尺寸660x440
为什么我每次问牙齿矫正的价格总不告诉我
图片尺寸900x500
兔牙,什么时候开始矫正?
图片尺寸387x247
快30岁了还能矫正牙齿吗
图片尺寸615x615
开颌 前凸,历时1年6个月_牙套_美心怎么样_牙齿矫正_美妆_医美整形
图片尺寸1080x1350