矽肺ct图片特征

矽肺ct表现 两肺见弥漫多发粟粒结节影,可以看到两肺门,纵隔淋巴结轻
图片尺寸1707x1280
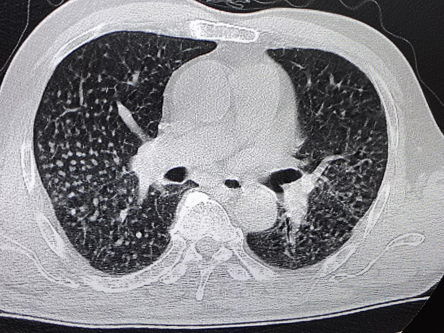
矽肺ct表现 两肺见弥漫多发粟粒结节影,可以看到两肺门,纵隔淋巴结轻
图片尺寸1707x1280
矽肺ct表现 两肺见弥漫多发粟粒结节影,可以看到两肺门,纵隔淋巴结轻
图片尺寸1707x1280
尘矽肺dr,ct影像学表现
图片尺寸1080x701
尘矽肺dr,ct影像学表现
图片尺寸1080x921
治矽肺
图片尺寸768x1024
尘矽肺dr,ct影像学表现
图片尺寸1080x1685
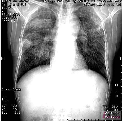
胸片病变典型尘肺表现影像描述
图片尺寸2767x1800
矽肺和结核:相生相克
图片尺寸1080x810
这 5 个习惯保持住,再差的肺也能慢慢改善
图片尺寸2532x2072
早期矽肺ct特征表现为双肺多发,无融合的小结节影,大小不等,多为2
图片尺寸750x500
尘矽肺dr,ct影像学表现
图片尺寸288x487
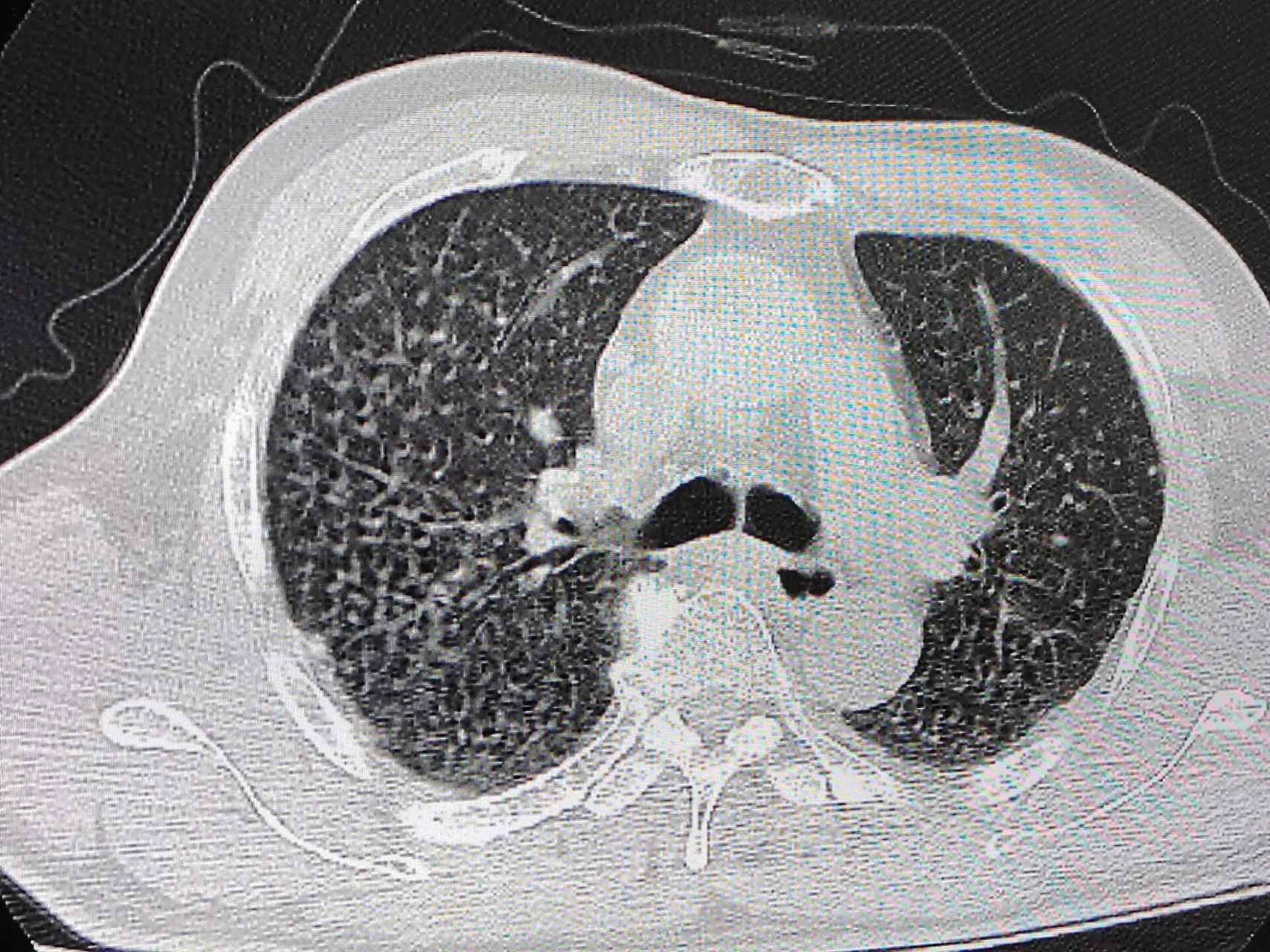
矽肺ct表现 两肺见弥漫多发粟粒结节影,可以看到两肺门,纵隔淋巴结轻
图片尺寸1707x1280
矽肺病ct表现及报告书写!
图片尺寸1920x1080
矽肺ct求助
图片尺寸2048x1152
矽肺合并机化性肺炎的影像学特点分析
图片尺寸2031x2031
矽肺
图片尺寸2560x1712
矽肺的常见症状,快来了解!
图片尺寸1024x1369
矽肺
图片尺寸2560x1712
全国首例集体矽肺病工伤索赔案
图片尺寸516x510