破裂孔ct解剖

影像解剖 | 理清颈动脉管,破裂孔的关系:颈内动脉破裂孔段并不经过
图片尺寸1035x752
影像解剖 | 理清颈动脉管,破裂孔的关系:颈内动脉破裂孔段并不经过
图片尺寸1080x601
高清图谱 | 颈内动脉走形图谱(2):岩段和破裂孔段
图片尺寸551x560
c3破裂孔段
图片尺寸650x552
纯手工详细标注颅底解剖
图片尺寸727x656
影像解剖 | 理清颈动脉管,破裂孔的关系:颈内动脉破裂孔段并不经过
图片尺寸990x1032
什么是消化道穿孔?
图片尺寸640x480
头部影像—ct基础ppt
图片尺寸1215x810
因此,从颅骨解剖上看,"颈动脉管升段"和"破裂孔"是一体的,解剖学把
图片尺寸508x465
第八章 鼻窦高分辨ct解剖.ppt
图片尺寸1152x864
经典影像之食管裂孔疝 - 好大夫在线
图片尺寸1024x1229
解剖丨颅底孔道及内容物
图片尺寸762x588
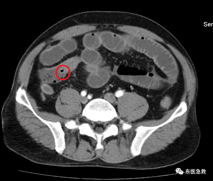
在ct图像上,医生发现了一个一个的小黑点,考虑金叔叔应该是小肠穿孔
图片尺寸734x624
读与思 柴斯特 食管裂孔疝以反酸,胸骨后疼痛等胃食管反流症状为主
图片尺寸1300x1400
腭鞘管---鼻咽后上:圆孔---颅中窝后内:翼管---破裂孔向前通过眶下裂
图片尺寸632x590
实用详细的颅底各孔道影像解剖
图片尺寸960x720
圆孔及上颌神经眶上裂通行视神经管,眶上裂,圆孔,卵圆孔,棘孔,破裂孔
图片尺寸891x644
丁香园论坛
图片尺寸5312x2988
【解剖】颞骨大体解剖 轴位及冠状位ct断层图像
图片尺寸579x680
脾被膜破裂,脾形态改变,腹腔内积血 脾脏形态改变?
图片尺寸493x363