破骨细胞 形态

破骨细胞的秘密生活:大小,功能与影响
图片尺寸1131x1050
破骨细胞
图片尺寸1080x1439
破骨细胞
图片尺寸700x436
成骨细胞与破骨细胞:骨骼健康的守护者
图片尺寸750x482
破骨细胞求问
图片尺寸3456x4608
成骨细胞与破骨细胞:骨骼健康的守护者
图片尺寸750x481
破骨细胞"身份证":trap染色为何成为金标准?
图片尺寸1080x608
图像,显示骨表面上的破骨细胞
图片尺寸700x585
今日探索:细胞世界大不同
图片尺寸2191x2529
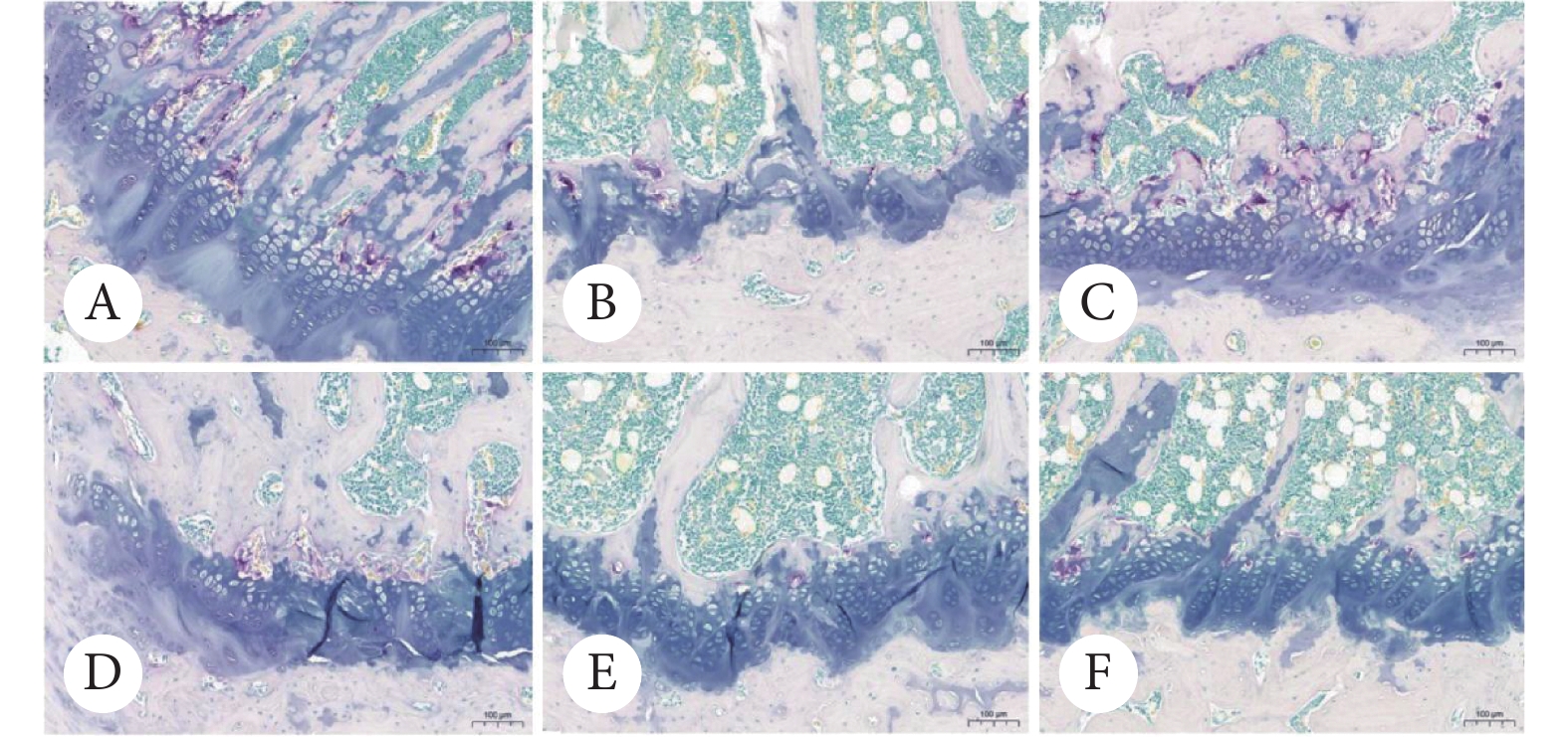
trap染色破骨细胞的代表性切片
图片尺寸1575x741
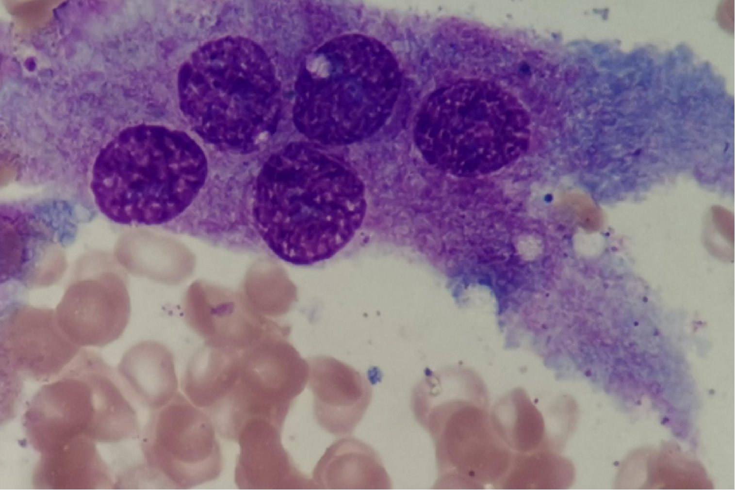
破骨细胞
图片尺寸736x566
破骨细胞培养及相关细胞因子
图片尺寸720x540
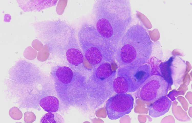
收藏| 常见骨髓细胞形态图谱
图片尺寸650x484
破骨细胞图片
图片尺寸1515x1010
终于,你来了
图片尺寸2592x1944
胎儿骨陷窝中的破骨细胞,扫描电镜图片
图片尺寸800x720
破骨细胞,插图图片
图片尺寸800x533
破骨细胞的细胞,说明图片
图片尺寸800x533
有没有大神养过破骨细胞啊
图片尺寸1937x1461
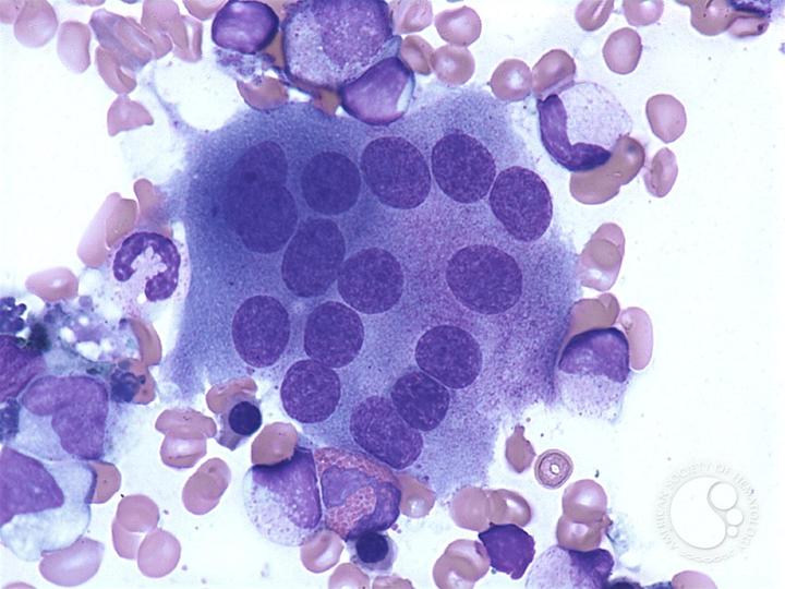
图7 成骨细胞和破骨细胞注:成骨细胞常多个成簇分布,有时单个存在,呈
图片尺寸640x365