硬脊膜外血肿

又一列硬膜外血肿的病人
图片尺寸3648x2736
硬膜外血肿
图片尺寸3264x2448
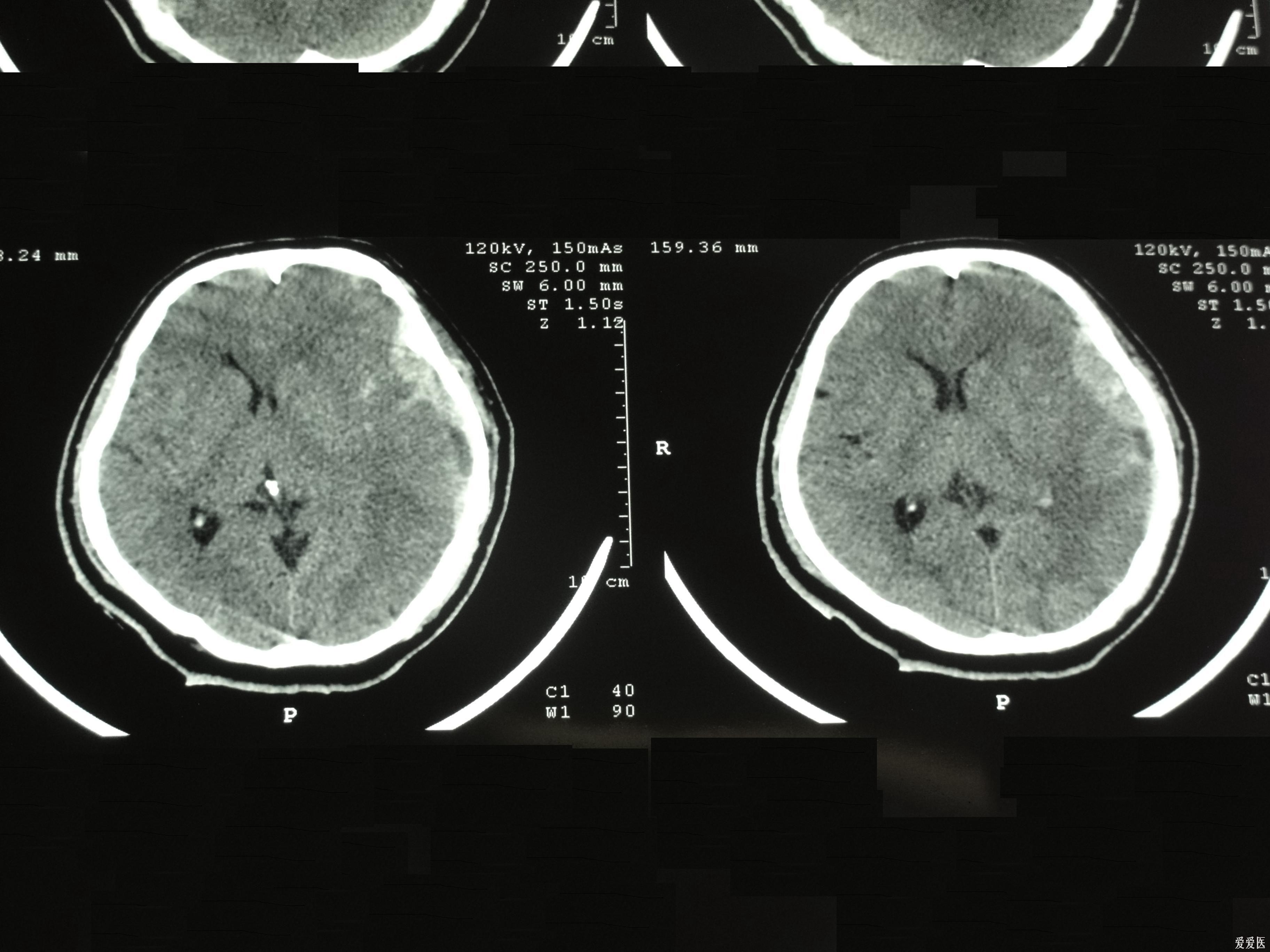
高坠伤 ct示:硬膜外血肿
图片尺寸2000x2667
襄医神外,与死神作斗争-----急性硬膜外血肿
图片尺寸4000x2000
夜间急诊常见疾病之硬膜外血肿ct诊断要点
图片尺寸1599x999
硬膜外血肿theneurosurgicalatlas系列
图片尺寸1280x1367
又一列硬膜外血肿的病人
图片尺寸3648x2736
儿童硬膜外血肿 - 好大夫在线
图片尺寸4000x3000
后脑勺着地硬膜下血肿
图片尺寸599x561
硬膜外血肿
图片尺寸764x728
【原创】我们基层医院做急性硬膜外血肿,大家看看,够艰苦吧!
图片尺寸2288x1712
硬膜外血肿
图片尺寸600x600
大家来看看考虑硬膜外血肿
图片尺寸3648x2736
儿童硬膜外血肿 - 好大夫在线
图片尺寸4000x3000
"奇怪的"修补后硬膜外血肿
图片尺寸3824x3023
慢性硬膜下血肿再出血
图片尺寸2592x1944
老年人头部外伤后需警惕慢性硬膜下血肿的发生
图片尺寸960x1280
大家来看看考虑硬膜外血肿
图片尺寸3648x2736
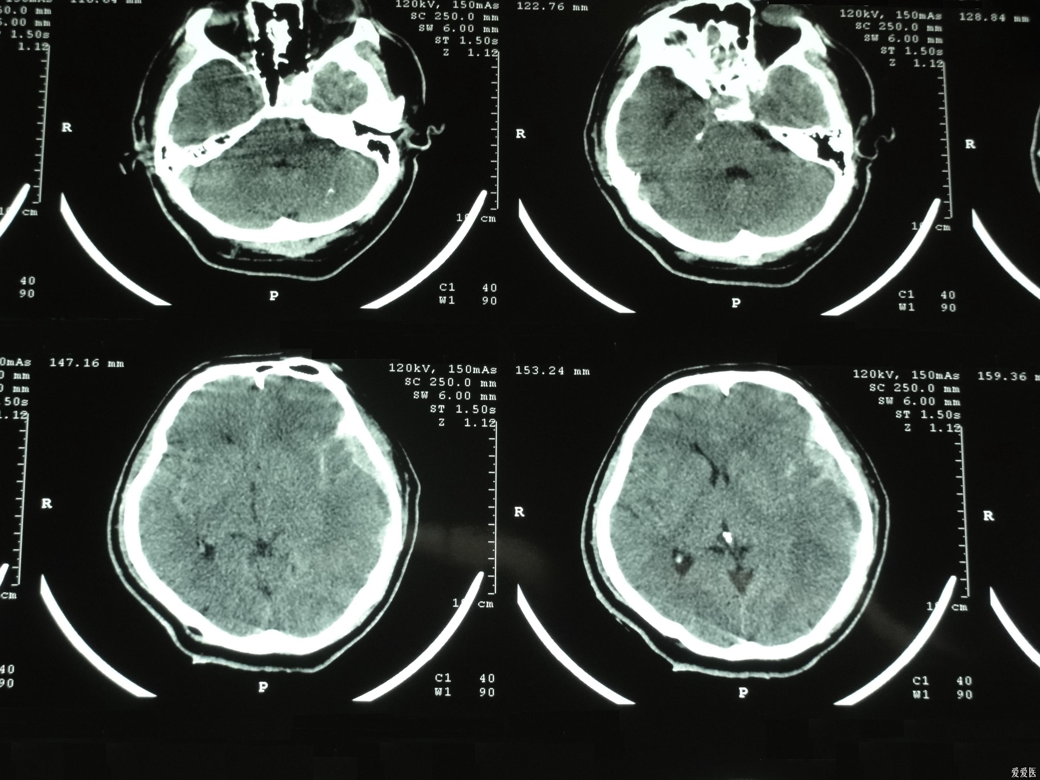
外伤性双侧硬膜外血肿病例分析
图片尺寸297x372
奇怪的修补后硬膜外血肿一
图片尺寸3087x2382