硬脑膜下出血

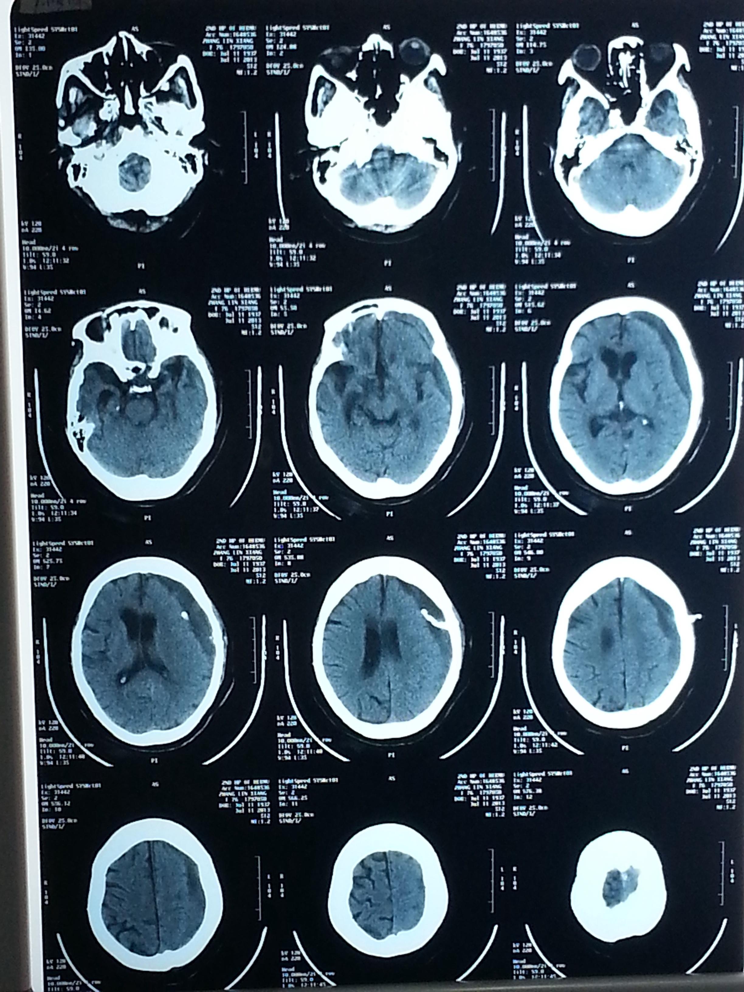
硬膜下出血
图片尺寸3264x1840
硬脑膜下血肿的鉴别诊断
图片尺寸400x320
硬膜下出血,是否手术
图片尺寸2448x3264
硬膜下出血
图片尺寸3264x1840
硬膜外出血
图片尺寸1528x2048
多图:颅内出血影像学表现大全
图片尺寸764x728
脑出血
图片尺寸632x585
成功抢救前颅窝底硬脑膜动静脉瘘破裂出血患者
图片尺寸2000x2667
左侧硬膜下血肿并左枕叶脑出血,合并脑疝形成
图片尺寸2000x2667
急性硬膜下血肿
图片尺寸1080x810
蛛网膜是一层半透明的膜,位于硬脑膜深部,其间有潜在性腔隙为硬脑膜下
图片尺寸1000x750
1例蛛网膜下腔出血的出血原因
图片尺寸3264x2448
出血量大的急性硬脑膜下出血需要打开头骨,脑膜移除出血,但不一定能
图片尺寸640x334
2床,秦溱,62岁,蛛网膜下腔出血.
图片尺寸1999x2665
其它 手术 分享 写美篇术前 与 术后 切开硬脑膜 术中见硬脑膜下
图片尺寸2000x2667
硬膜下学血肿一例
图片尺寸2448x3264
后脑勺着地硬膜下血肿
图片尺寸599x561
大脑镰硬膜下出血
图片尺寸512x512
各种脑出血傻傻分不清?一个case解决所有疑惑
图片尺寸633x450
慢性硬膜下血肿
图片尺寸2448x3264