硬脑膜下血肿

术前可见慢性硬脑膜下血肿量很大
图片尺寸640x480
硬脑膜下出血
图片尺寸740x387
硬脑膜下血肿_发病原因_治疗方式 - 好大夫在线
图片尺寸2008x926
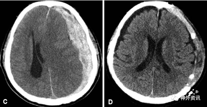
阶梯性减压治愈亚急性硬膜下血肿一例丨颅脑创伤神经重症病例周刊95期
图片尺寸1440x1080
老年人头部外伤后需警惕慢性硬膜下血肿的发生
图片尺寸960x1280
硬脑膜下血肿_发病原因_治疗方式 - 好大夫在线
图片尺寸2480x1438
临床外科知识:硬脑膜外血肿临床表现与诊断
图片尺寸662x497
硬膜下学血肿一例
图片尺寸2448x3264
硬脑膜外血肿与硬脑膜下血肿鉴别
图片尺寸1432x1000
分享一例硬膜下血肿硬通道穿刺引流小教训原创
图片尺寸4032x3024
亚急性硬膜下血肿
图片尺寸1080x810
左侧硬膜下血肿并左枕叶脑出血,合并脑疝形成
图片尺寸2000x2667
左侧硬膜下血肿并左枕叶脑出血,合并脑疝形成
图片尺寸2000x2667
慢性硬膜下血肿
图片尺寸3264x2448
老年人"反应慢"莫大意_硬脑膜下血肿_症状表现_检查_治疗方式 - 好
图片尺寸1600x1200
扩大骨窗至四个骨孔大小,"十"字切开硬脑膜,有少量暗红色血肿流出
图片尺寸1080x1441
急性硬脑膜下血肿选择什么手术好
图片尺寸707x367
【住培-影像病例精读-颅脑创伤】病例5 硬膜下血肿
图片尺寸1080x591
硬膜外血肿与硬膜下血肿的影像学表现 - 好大夫在线
图片尺寸446x423
老年人急性硬膜下血肿
图片尺寸1740x1711