硬脑膜外

硬膜外血肿并发颅骨骨折,且80%的骨折位于血肿同侧,由于骨折引起脑膜
图片尺寸626x523
硬脑膜外血肿与硬脑膜下血肿鉴别
图片尺寸1432x1000
硬膜外隙epidural space
图片尺寸1080x810
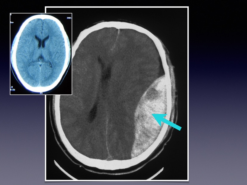
图解硬膜外血肿(2013课件)
图片尺寸828x620
硬膜外血肿
图片尺寸3264x2448
如何进行硬膜外阻滞麻醉规范操作
图片尺寸640x328
当头部施加某种冲击,硬脑膜外的毛细血管受损时,血液将在硬脑膜和颅骨
图片尺寸588x294
硬膜外血肿与硬膜下血肿的鉴别pptppt
图片尺寸860x645
硬脑膜
图片尺寸267x300
硬脑膜窦 dural sinuses
图片尺寸1080x810
kawase硬膜外岩尖切除技术视频详解我的手术学习笔记系列
图片尺寸500x436
硬膜外下血肿ppt
图片尺寸800x600
亚急性硬膜外血肿 急性硬膜外血肿 慢性硬膜下血肿
图片尺寸1080x810![硬膜外血肿与硬膜下血肿的鉴别]](https://i.ecywang.com/upload/1/img1.baidu.com/it/u=3751426837,1300640084&fm=253&fmt=auto&app=138&f=JPEG?w=888&h=500)
硬膜外血肿与硬膜下血肿的鉴别]
图片尺寸1440x811
硬膜外血肿及硬膜下血肿
图片尺寸1080x810
硬脑膜外血肿
图片尺寸690x425
硬膜外及硬膜下血肿
图片尺寸800x600
硬脑膜特点: 由两层合成, 硬脑膜 蛛网膜 软脑膜 外层为颅骨内 面
图片尺寸1080x810
蛛网膜下腔 硬脊膜 硬膜外隙是 硬膜外麻醉 的部位 软脊膜 蛛网膜 硬
图片尺寸1080x810
图解硬膜外血肿(2013课件)
图片尺寸828x620