硬膜下解剖图

硬膜下血肿病人的护理ppt课件
图片尺寸920x690
颈椎间盘突出压迫硬膜囊严重吗是压迫脊髓了吗
图片尺寸710x634
在旧书《解剖学》中颅底与硬脑膜的插图,作者fr.
图片尺寸975x1200
图解硬膜外血肿(2013课件)
图片尺寸828x620
系统解剖概要脑脊髓被膜
图片尺寸920x690
眼肌运动神经走行(侧面观)外展神经硬膜下走行最长,脑炎,蛛网膜下腔
图片尺寸640x498
硬脑膜静脉窦的解剖
图片尺寸703x433
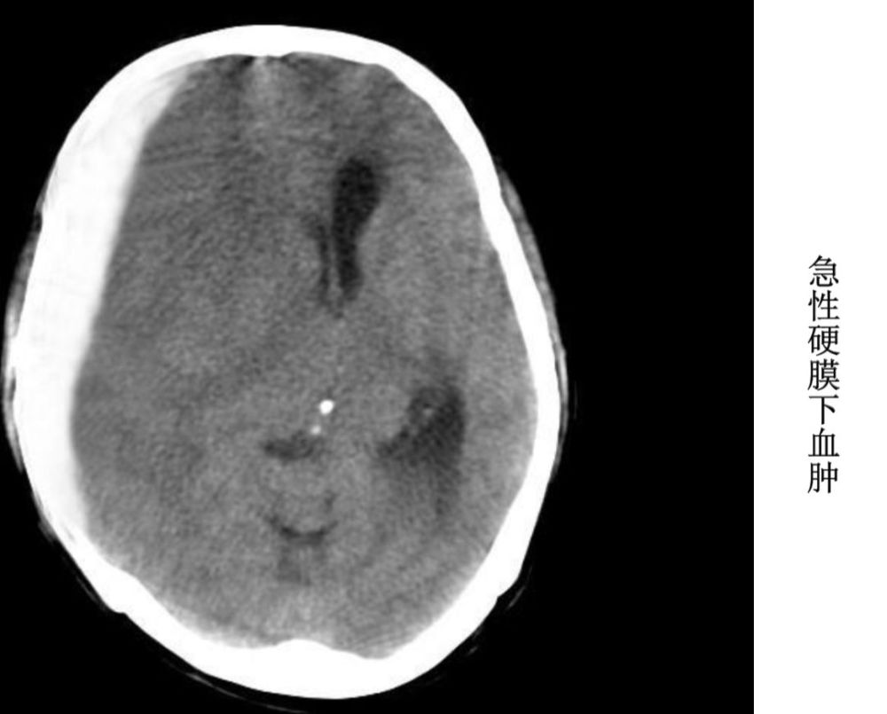
神外科普 l 硬膜下血肿
图片尺寸1022x1190
先天性颅底裂的手术及解剖
图片尺寸640x512
3d解剖丨头颈部颅脑
图片尺寸491x647
精彩课件硬膜外麻醉误入硬膜下隙的解剖学研究
图片尺寸960x720
4脑梗死按解剖部位可分为:大脑梗死:大梗死---超过一个脑叶,5cm以上
图片尺寸1000x805
解剖学脑和脊髓的血管
图片尺寸700x383
【基础】硬膜静脉窦的解剖
图片尺寸657x647
贺岁帖第四部分:颅脑ct简要断面解剖及脑内常见低密度病变的影像诊断
图片尺寸900x495
鼻漏的形成概 述神经内镜在颅底外科的应用-内镜解剖培训班风采内镜和
图片尺寸945x427
直观精品内镜颅底解剖
图片尺寸548x436
叫硬脊膜,通过枕骨大 孔与硬脑膜相连 蛛网膜:半透明膜,位于硬膜深
图片尺寸1080x810
椎管内硬膜外脂肪增多症
图片尺寸1080x810
头痛与肌硬膜桥
图片尺寸549x910