碧蓝麻

碧蓝麻50支每盒
图片尺寸1920x1080
碧蓝麻
图片尺寸447x248
必兰麻必兰碧蓝碧蓝麻阿替卡因肾上腺素注射液
图片尺寸1536x2048
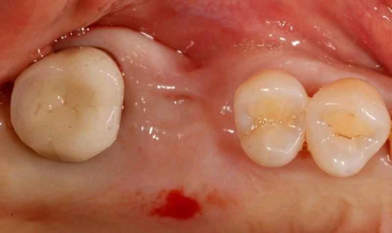
补牙必须要有麻醉
图片尺寸1080x1443
必兰麻必兰碧蓝碧蓝麻阿替卡因肾上腺素注射液
图片尺寸720x960
牙科材料口腔齿科碧蓝麻注射器针不锈钢必兰注射器带两个头 勾头回抽
图片尺寸800x800
碧蓝麻牙科麻醉注射器牙科器械不锈钢注射器口腔器械牙科材料
图片尺寸1000x1000
牙医该如何选择"斯康杜尼"与"碧蓝麻"
图片尺寸507x300
口腔 注射器 碧蓝麻注射器 牙周膜注射器 可控量 无痛 牙科器械
图片尺寸960x960
不锈钢注射器 碧兰麻注射器 不锈钢印模注射器 牙科口腔器材
图片尺寸750x750![酒石酸肾上腺素药品名称:阿替卡因肾上腺素注射液(酰胺类麻醉剂)[附]](https://i.ecywang.com/upload/1/img1.baidu.com/it/u=323633378,664300451&fm=253&fmt=auto&app=138&f=JPEG?w=500&h=375)
酒石酸肾上腺素药品名称:阿替卡因肾上腺素注射液(酰胺类麻醉剂)[附]
图片尺寸720x540
碧兰麻局部阻滞麻醉引起组织坏死
图片尺寸800x477
牙科材料口腔齿科碧蓝麻注射器针不锈钢必兰注射器带两个头 尖头不会
图片尺寸800x800
使用必兰麻,谨慎再谨慎!
图片尺寸295x221
森田morita牙科麻醉注射针头碧蓝针头超安全型
图片尺寸300x300
牙医该如何选择"斯康杜尼"与"碧蓝麻"
图片尺寸1920x1080
必兰麻必兰碧蓝碧蓝麻阿替卡因肾上腺素注射液
图片尺寸720x960
新款索感mini注射器自动碧蓝麻无痛麻醉助推仪牙科口腔局部带回吸
图片尺寸800x800
牙科碧兰麻碧蓝
图片尺寸300x300
牙科碧兰麻碧蓝
图片尺寸277x300