磨牙后的牙齿图片

牙齿磨损图
图片尺寸750x500
7天快速美白矫正牙齿的美容冠靠谱吗?别再上当啦!
图片尺寸553x260
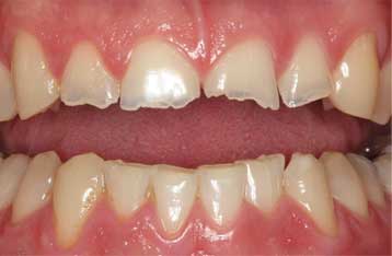
下颌:下颌牙有磨耗,程度不一;42有龋坏,42----32之间牙齿有间隙,磨耗
图片尺寸1170x935
左下第一磨牙根治后玻璃纤维桩烤瓷全冠修复一例
图片尺寸680x1211
健康的牙齿在磨小以后,可能会因为牙冠的不贴合或者时间久了以后,牙龈
图片尺寸500x309
后磨牙不痛不痒十几年了有黑点附图
图片尺寸580x286
有图
图片尺寸480x640
因为磨牙会损害牙釉质,还容易伤到牙神经,如果牙齿磨多了,伤到了牙
图片尺寸600x401
牙齿磨小图
图片尺寸600x400
修复体颊面观 案例二:左下第二前磨牙根管治疗后椅旁cad/cam全冠修复
图片尺寸575x383
磨牙种植病例
图片尺寸617x467
磨牙后,装了两个桩,也磨低了下门牙.
图片尺寸771x520
16周岁 第二磨牙松动 痛 要不要拔 镶牙可以吗 价格怎么样
图片尺寸754x1008
牙齿重度磨耗的整体修复
图片尺寸680x454
并且这个磨牙量可不小,有时佩戴一个美容冠同时要伤及周围健康的牙齿
图片尺寸500x404
为第一磨牙和第二磨牙,是咀嚼食物时的主力军,也是最坚硬,最大的牙齿
图片尺寸587x408
全瓷牙磨牙照片
图片尺寸400x400
不可忽视的牙齿慢性杀手——夜磨牙
图片尺寸358x234
对颌牙磨耗 严重
图片尺寸2262x1476
烤瓷牙磨牙后牙齿情况
图片尺寸500x302