磨玻璃结节

这些这些磨玻璃结节,一般是根据它的密度和均匀程度来区分的,一般磨
图片尺寸1719x1280
肺磨玻璃结节之十问十答
图片尺寸3968x2976
5mm肺磨玻璃结节需要立即手术吗?可以随访观察吗?
图片尺寸1559x1559
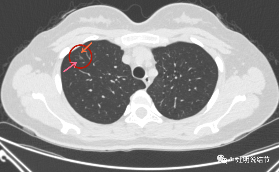
磨玻璃结节故事5因为中叶结节住院却无意中发现右下肺恶性磨玻璃结节
图片尺寸700x682
多发磨玻璃结节,一网打尽#肺结节 #肺结节三维重建 #磨玻璃 - 抖音
图片尺寸1440x1920
磨玻璃样结节患者,牢记这些字儿!
图片尺寸640x480
肺部磨玻璃结节,磨玻璃肺癌_肺部结节_肺部结节缓解方法 - 好大夫在线
图片尺寸1706x1280
哪种磨玻璃结节最可怕需不需要做手术主要看这点
图片尺寸567x641
体检查出肺上有磨玻璃结节, 一定要手术切除吗? 大家好!
图片尺寸2308x1280
左上肺磨玻璃结节,8毫米,腺癌 - 好大夫在线
图片尺寸3648x1680
什么是磨玻璃结节
图片尺寸375x264
肺磨玻璃结节精准手术的强大助力(文末有福利)_结节病_治疗方式_相关
图片尺寸875x718
双肺多发磨玻璃结节怎么办先期一网打尽左肺5个腺癌
图片尺寸700x667
有空泡征的磨玻璃结节多提示恶性可能性大,建议尽早外科干预.
图片尺寸960x1280
肺磨玻璃结节的ct诊断
图片尺寸960x720
肺磨玻璃样结节表现及鉴别诊断
图片尺寸766x950
肺部纯磨玻璃结节良恶性鉴别
图片尺寸1080x1681
问诊分析20211129发现3年了的肺磨玻璃结节没有吸收会是肺癌吗
图片尺寸930x888
问诊仅30岁的女子两肺多达11处磨玻璃结节该干预
图片尺寸912x563
肿瘤性磨玻璃结节随访增大就需要手术?_肺部结节 - 好大夫在线
图片尺寸3456x4608