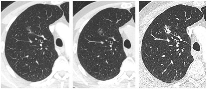
磨玻璃结节恶性

看图说肺肺部磨玻璃结节恶性的随访
图片尺寸700x302
混合磨玻璃结节,伴有胸膜牵拉——肺腺癌
图片尺寸1440x1408
肺磨玻璃结节的病人,如何给我传有用的影像资料(术后病人也一样) - 好
图片尺寸4032x3024
肺上发现磨玻璃结节,是做微创手术好,还是微波介入治疗好?
图片尺寸846x1200
并不因为它是磨玻璃,它就比普通的结节恶性程度更高,或者恶性概率更高
图片尺寸2736x3648
哪种磨玻璃结节最可怕需不需要做手术主要看这点
图片尺寸567x641
右肺癌术后,左肺磨玻璃结节,腺癌 - 好大夫在线
图片尺寸5120x2368
肺部纯磨玻璃结节良恶性鉴别
图片尺寸1080x1681
迫切希望能通过短期随访或者不随访就能识别出磨玻璃结节的良恶性
图片尺寸418x583
肺结节良恶性判断随访很关键23cm混合性磨玻璃结节居然是炎症
图片尺寸1000x562
磨玻璃阴影肺癌手术标本.jpg
图片尺寸606x431
发现肺磨玻璃结节怎么办(五):专家医生判断我的肺磨玻璃结节是浸润性
图片尺寸1440x1080
右肺上叶前段磨玻璃结节,术中冰冻病理证实为癌 - 好大夫在线
图片尺寸1080x1440
刘懿博士说肺癌(二七五二)肺磨玻璃结节观察到现在,可以切了!
图片尺寸3456x2907
如何确诊肺部磨玻璃结节?
图片尺寸3433x2496
磨玻璃结节故事10一个2厘米的恶性混合磨玻璃结节两年半来几乎不增大
图片尺寸1200x1600
磨玻璃结节必看各大指南汇总什么样的磨玻璃结节需要手术
图片尺寸442x294
科普肺部磨玻璃样结节恶性的影像学特征
图片尺寸315x353
【案例】肺磨玻璃结节术后,实性结节长大了 - 好大夫在线
图片尺寸3024x4032
北京患者6个磨玻璃结节3个微浸润腺癌 - 好大夫在线
图片尺寸2489x2598