神经鞘瘤病理

罕见:颈静脉孔区神经鞘瘤
图片尺寸640x520
病理:神经鞘瘤
图片尺寸1536x876
一例粘膜良性上皮样神经鞘瘤的病理报告
图片尺寸1080x1336
神经鞘瘤
图片尺寸330x248
恶性周围神经鞘膜肿瘤
图片尺寸1181x945
神经鞘瘤? - 华夏病理网论坛
图片尺寸1920x1440
神经鞘瘤? - 华夏病理网论坛
图片尺寸1920x1440
请教神经鞘瘤和纤维瘤的区别 - 临床病理讨论版 - 爱爱医医学论坛
图片尺寸600x452
神经鞘瘤吧! - 华夏病理网论坛
图片尺寸800x600
神经鞘瘤? - 华夏病理网论坛
图片尺寸1920x1440
舌体肿物,从状神经鞘膜瘤,2016/12/22【河南病理交流群病例4】
图片尺寸4208x2368
肿瘤病理回报:神经鞘瘤.
图片尺寸1437x1077
术后病理回报,(右侧咽旁间隙)神经鞘瘤(图5).病理结果图4.
图片尺寸1269x957
上皮样恶性神经鞘瘤
图片尺寸1181x945
恶性周围神经鞘瘤伴横纹肌肉瘤
图片尺寸1918x932
神经鞘瘤
图片尺寸300x300
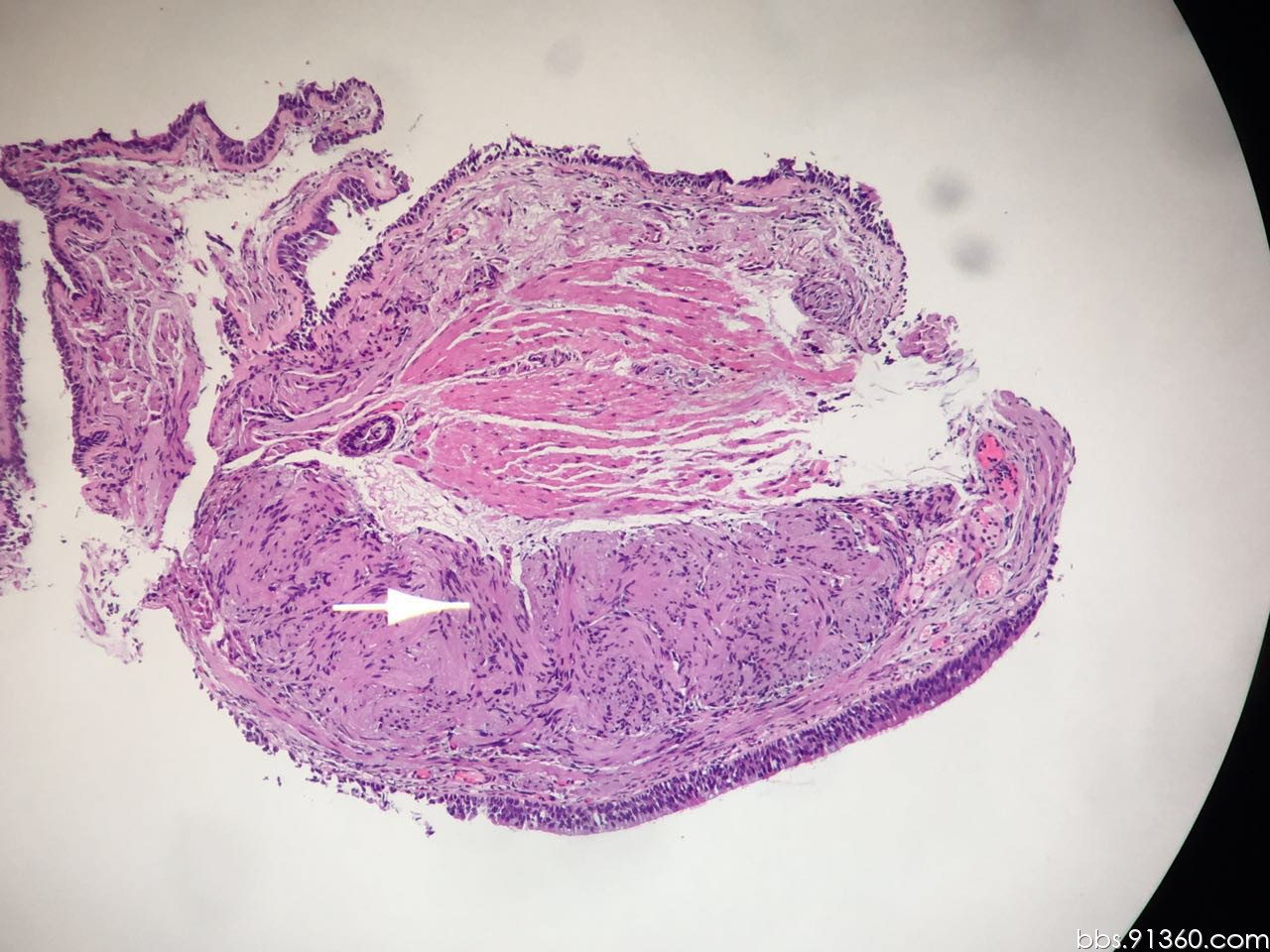
右肩皮下肿物 陈旧性神经鞘瘤?讨论【91360软组织病理沙龙111】
图片尺寸1280x960
丛状神经鞘瘤 - 病理杂谈 - 91360智慧病理网
图片尺寸308x364
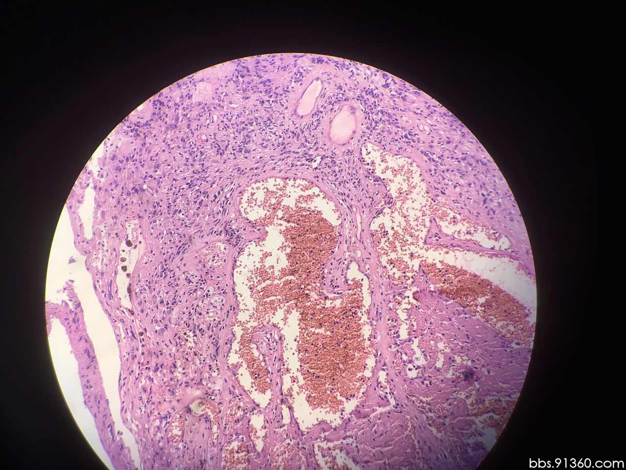
神经鞘瘤病例【胸部等器官论坛病例99】 - 呼吸系统 - 91360病理论坛
图片尺寸1280x960
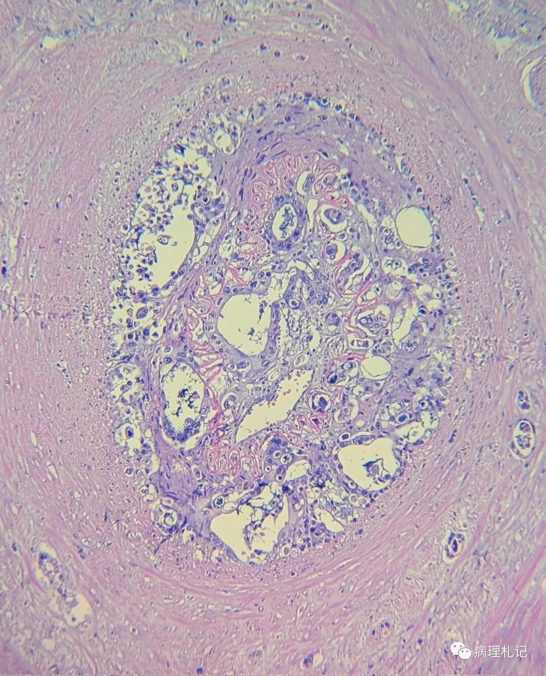
神经鞘瘤,有恶变吗? - 华夏病理网论坛
图片尺寸1280x965