种植牙二期

种植牙照片
图片尺寸500x461
种植牙二期手术过程图解分享种牙二期比一期更痛是真的
图片尺寸400x298
种植牙一期二期三期流程
图片尺寸500x500
种牙二期安愈合基台 - 知乎
图片尺寸2160x4144
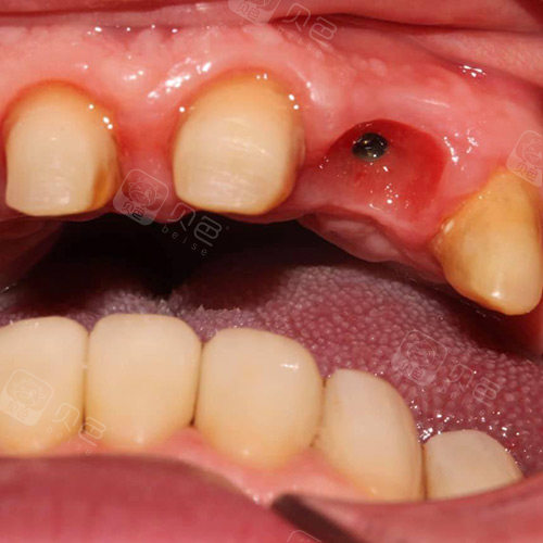
种植牙基台外露正常吗非埋入式植体和埋入式判断标准不同
图片尺寸526x407
种牙二期安愈合基台 - 知乎
图片尺寸2670x2336
种植牙二期手术过程图解分享种牙二期比一期更痛是真的
图片尺寸500x370
种植牙二期佩戴牙冠
图片尺寸500x500
种植牙7天了感觉骨头里面疼,真心觉得种牙二期比一期更痛
图片尺寸600x378
广州种植牙广州种牙种植牙一期二期三期过程
图片尺寸1200x1600
杨浦区种植牙有没有3000多块钱的?
图片尺寸400x400
下后牙种植及后期全锆牙修复
图片尺寸640x428
西安未央中诺口腔半口种植牙二期
图片尺寸477x302
项目:种植牙
图片尺寸566x377
六颗种植牙两个月反馈
图片尺寸1080x1073
种植牙和我的真牙一样
图片尺寸600x399
种植牙二期手术:等到种植体与骨骼结合后,再安装基台.
图片尺寸761x605
您的种植牙上洞吗
图片尺寸2484x3225
种植牙二期手术过程
图片尺寸1152x720
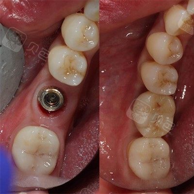
种植牙二期修复
图片尺寸1080x810