种植牙后感染了图片

种植的牙会发炎吗?
图片尺寸890x600
种植牙一期后续,电烧去牙龈肉导致发炎发白
图片尺寸1080x810
种植牙一期后续,电烧去牙龈肉导致发炎发白
图片尺寸1080x1439
种植牙7天了感觉骨头里面疼,真心觉得种牙二期比一期更痛
图片尺寸600x378
26岁做了种植牙我好后悔种牙后痛到绝望种的牙3年就坏了
图片尺寸640x480
非常后悔做了种植牙种植牙后几年牙床全烂了
图片尺寸415x456
我种植牙8年后牙齿痛还出血并且牙骨吸收的厉害需要植骨修复
图片尺寸631x260
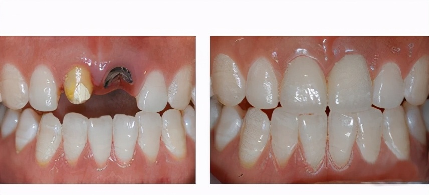
一例种植术后修复戴牙病例**ps:有惊喜
图片尺寸1080x1080
种植牙后会出现缝隙和散发臭味吗除了这些还有其它并发症
图片尺寸601x400
种植牙术后常见并发症的防与治,经典好文推荐!
图片尺寸902x1206
即刻种植#牙根尖出现感染后一味的等待只会出现更多的骨质破坏.
图片尺寸690x908
北京东城区种植牙医院哪家技术好?种牙坏了能再种的医院
图片尺寸526x306
终于去做了种植牙
图片尺寸500x500
常规种植牙术后7-10天及时拆线,及时拆线可以预防局部感染.
图片尺寸856x390
种植牙感染的图片
图片尺寸500x246
2,感染性问题 还有一类就是感染性的问题了,那就是种植体发炎了
图片尺寸400x255
种植牙
图片尺寸570x758
种牙后发生炎症,该如何护理我的种植牙?
图片尺寸640x338
解答做完种植牙后出现了牙龈发炎状况怎么办
图片尺寸888x507
26岁做了种植牙我好后悔种牙后痛到绝望种的牙3年就坏了
图片尺寸450x282