种植牙牙片

安装结束后拍摄的牙片,可见种植牙牙根的位置及骨愈合的情况.
图片尺寸1321x1689
调合,接着戴右边,不知道为什么,右边一点也不疼,医生以为是种植体出
图片尺寸720x489
种牙牙片欣赏
图片尺寸1080x810
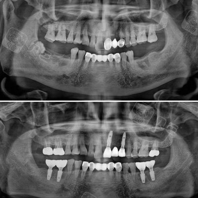
种植牙后全景片
图片尺寸828x448
种牙好贵,但是不种又不行
图片尺寸849x849
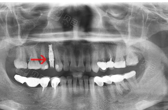
深圳种植牙怎样从牙片判断自己的种植体品牌呢
图片尺寸2000x1013
种植牙后牙片
图片尺寸600x336
吴女士种植带冠后的牙片显示,种植体就位准确,受力均衡据了解,如吴
图片尺寸1280x704
种植牙后,图
图片尺寸640x863
第四步,去拍牙片,种植人工牙根后的片子(如下图3),拍完牙片后嘱咐:2周
图片尺寸2048x1776
初中高中牙套矫正 之后是根管治疗 现在是种牙 种牙拍全牙片发现四颗
图片尺寸1080x810
种植牙,24岁的牙齿.熬过了两次种植牙
图片尺寸1080x808
合生齿科dr王强主任医生让种植牙更稳固更长寿
图片尺寸928x545
长达2年看牙之路今天终于做种植牙了
图片尺寸800x800
拖拖拖结果拖出了种植牙
图片尺寸1080x1080
种植牙今天拍了个片子为什么种歪了
图片尺寸1080x547
种牙牙片欣赏
图片尺寸1080x1440
带你了解杭州种植牙补贴真相!
图片尺寸400x400
我在长春欣雅花1万6做的诺贝尔种植牙后2年的感受
图片尺寸553x362
美然即刻用半口种植牙手术成功为新年再添口福
图片尺寸1080x563