种植牙高清图片

牙齿种植过程有哪些
图片尺寸670x433
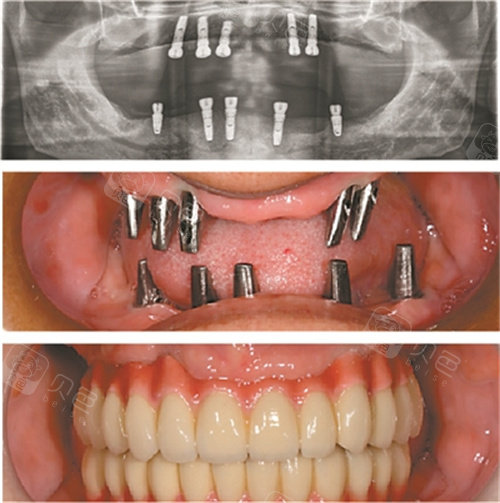
全口种植牙高清实拍
图片尺寸500x503
潍坊市中医院:全口种植牙 笑容更自信_手机搜狐网
图片尺寸1080x810
为什么西安美奥冯雪教授,建议大家选择种植牙?
图片尺寸1080x684
种植牙,人类的第三副牙齿,最近我们门诊种植修复的案例,种的是 - 抖音
图片尺寸1280x1707
种植牙治疗案例部分图集——贝洁口腔微分享
图片尺寸1369x910
种植牙头和桥,将固定局部义齿 (牙桥) 放在植入物的牙科技师
图片尺寸682x1023
牙齿种植过程图片
图片尺寸450x300
种植牙手术图片
图片尺寸450x300
763海报印制展板写真贴纸素材1715牙科诊所医院人工种植牙宣传图
图片尺寸1200x1800
种植牙照片
图片尺寸500x461
全口种植牙一般流程_牙齿种植_介绍_治疗方式 - 好大夫在线
图片尺寸1037x1842
种植牙真的可以一劳永逸吗?
图片尺寸400x225
种植牙和我的真牙一样
图片尺寸600x399
杭州哪里做种植牙好?
图片尺寸600x421
您的种植牙上洞吗
图片尺寸2484x3225
种植牙修复一例 - 好大夫在线
图片尺寸899x807
全口种植牙图片大全真人害怕者慎点
图片尺寸1080x1440
在深圳做过种植牙后的亲身经历告诉你哪家医院种牙好
图片尺寸500x353
光合作用过程图解牙种植安装过程, 医学上精确3d 图解白色样式照片
图片尺寸392x300