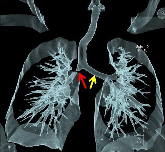
空气支气管征

双肺下叶高密度伴充气支气管征象请分析
图片尺寸2160x2880
双肺下叶高密度伴充气支气管征象请分析
图片尺寸2160x2880
6. 空气支气管征:细条状,直径约 1 mm 的空气密度影.
图片尺寸838x436
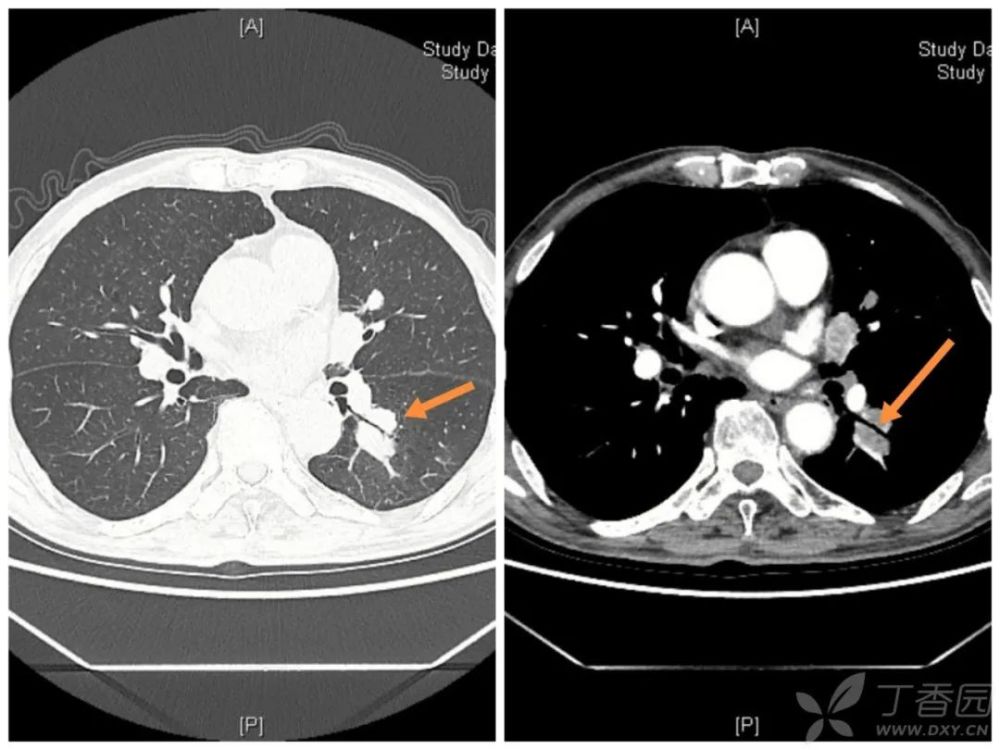
可见深浅不一的分叶,兼有多个征象恶性,细支气管充气征及支气管截断征
图片尺寸342x256
分享一期工作常见,典型的病例,来源网络#抖音创作者大会话题 - 抖音
图片尺寸1008x762
横断 ct 示实变(红色圆圈),空气支气管征(蓝箭)和反晕征(绿箭)
图片尺寸577x522
空气支气管征
图片尺寸550x505
双肺下叶高密度伴充气支气管征象请分析
图片尺寸2160x4714
ct中大叶性肺炎实变影的"空气支气管征"
图片尺寸973x631
蟹足征 空气支气管征,明显渐进性强化---(有结果)
图片尺寸512x512
"肺纹理纤细,稀疏".胸片:肺气肿.
图片尺寸1500x3589
丁香园论坛>影像核医学>帖子详情>支原体肺炎在胸片上:较典型表现为自
图片尺寸3600x1800
女性66岁的支气管扩张你想象不到的逆转
图片尺寸710x535
免费文档 所有分类 医药卫生 肺部结节的ct鉴别诊断ppt 5,支气管充气
图片尺寸1080x810
阳性支气管征和空气支气管征的异同
图片尺寸597x468
肺内多发病变 奇怪的支气管充气征_腾讯新闻
图片尺寸1000x750
16种支气管扩张相关常见及不常见疾病的机制及影像特征
图片尺寸1469x1773
支气管扩张影像征像
图片尺寸1080x810
解密肺部 ct 报告:关键信息全掌握 身为一名中医呼
图片尺寸1280x1280
细支气管充气征
图片尺寸622x595