穿心莲粉末

来一组穿心莲粉末的显微图 嘿嘿,好几天没更新了,今天来一组穿心莲的
图片尺寸1280x1706
穿心莲粉末显微图
图片尺寸1440x1920
穿心莲的粉末鉴定
图片尺寸1920x2560
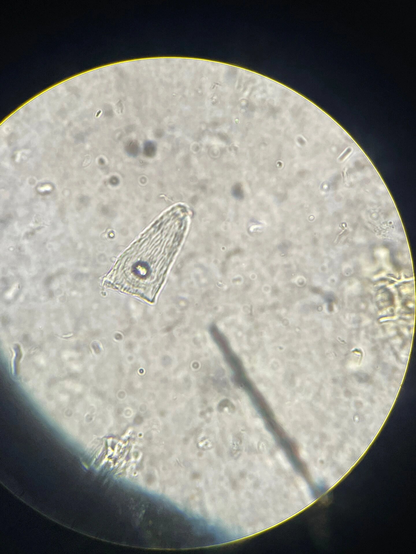
穿心莲粉末显微图 晶细胞:含大型螺样钟乳体,较大端有脐样点痕,层纹波
图片尺寸1440x1920
麻黄穿心莲粉末鉴别特征
图片尺寸1080x1080
来一组穿心莲粉末的显微图 嘿嘿,好几天没更新了,今天来一组穿心莲的
图片尺寸1280x1707
来一组穿心莲粉末的显微图
图片尺寸1280x960
工厂提供100% 天然纯穿心莲粉
图片尺寸300x300
穿心莲中药材穿心莲粉中草药川心莲现磨粉另售穿心莲片 250g
图片尺寸999x999
穿心莲粉中药材正品野生穿心莲干粉天然穿心莲现磨无添加川心莲
图片尺寸960x960
中药材现磨穿心粉500克片穿心莲粉 川心莲穿心莲500克包有仁堂 1000克
图片尺寸960x960
穿心莲粉500克 中药粉穿心连 川心莲 穿心莲 苦胆草 包邮
图片尺寸800x800
内廷上用中药材穿心莲粉 穿心莲 川心莲穿心莲500克另有杨树花粉
图片尺寸750x750
穿心莲代客磨粉穿心莲粉500g 穿心连粉川心莲 穿心莲 苦胆草 包邮
图片尺寸3024x3024
穿心莲粉养殖用穿心莲猪牛羊鸡鸭鹅饲畜牧禽穿心莲纯粉
图片尺寸1080x1080
10:1 天然穿心莲提取物粉末 100克/包 包邮
图片尺寸800x800
穿心莲内酯98穿心莲提取物现货供应穿心莲粉
图片尺寸1920x1881
复方穿心莲兽用穿心莲粉末猪牛羊鸡鸭鹅鸽畜禽用饲料原料孕畜可用
图片尺寸800x800
复方穿心莲粉末兽用四味穿心莲散猪牛羊鸡鸭鹅饲料原料
图片尺寸800x800
穿心莲代客磨粉穿心莲粉500g 穿心连粉川心莲 穿心莲 苦胆草 包邮
图片尺寸3024x3024