突触 电镜

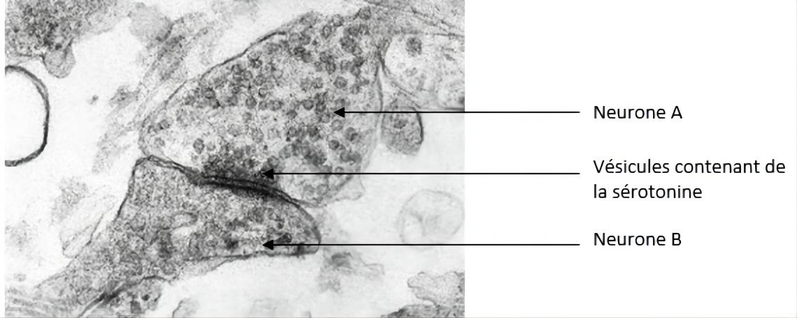
突触
图片尺寸1140x456
突触电镜的问题,求大神
图片尺寸640x661
【求助】如何在电镜下辨认突触
图片尺寸3310x1563
化学突触示意图 (levitan and kaczmarek, 2015)
图片尺寸720x623
突触电镜的问题求大神
图片尺寸640x631
突触
图片尺寸1476x1182
图7-10 化学突触超微结构模式图电镜下,突触扣结内含许多突触小泡
图片尺寸325x239
em突触 突触
图片尺寸1080x810
化学突触(synapse)是存在于可兴奋细胞间的一种连接方式,其作用是通过
图片尺寸553x415
胸廓外伤|协和八·每日一题
图片尺寸1080x834
突触电镜的问题求大神
图片尺寸640x456
science完整生命周期中的全脑突触图谱
图片尺寸940x392
图26. 小鼠皮层中的突触电镜图.
图片尺寸608x764
一种用于微波辐射致神经元突触损伤的生物标志物n-sec1蛋白的制作方法
图片尺寸990x1000
论坛
图片尺寸3888x2592
丁香园论坛
图片尺寸1080x997
tirfsim看免疫突触如何完全用镜子讲故事
图片尺寸1080x641
神经环路研究工具病毒系列之顺行示踪病毒
图片尺寸612x900
【求助】请各位专家帮忙诊断-脉络膜疾病诊断
图片尺寸600x750![呕吐8天.到目前,我们查到的结果很有趣, [病例帖]](https://i.ecywang.com/upload/1/img2.baidu.com/it/u=2860276949,3849500995&fm=253&fmt=auto&app=138&f=JPEG?w=611&h=500)
呕吐8天.到目前,我们查到的结果很有趣, [病例帖]
图片尺寸870x712