窦房结细胞

图像名称窦房结低倍镜
图片尺寸550x378
【求助】 窦房结的组织学图片
图片尺寸815x540
图1-2-8 窦房结细胞的i f 通道
图片尺寸1928x1478
读书笔记—窦房结的解剖和生理
图片尺寸690x469
心脏传导系统ppt
图片尺寸1080x810
只有窦房结p细胞0期是钙内流的?
图片尺寸1080x713
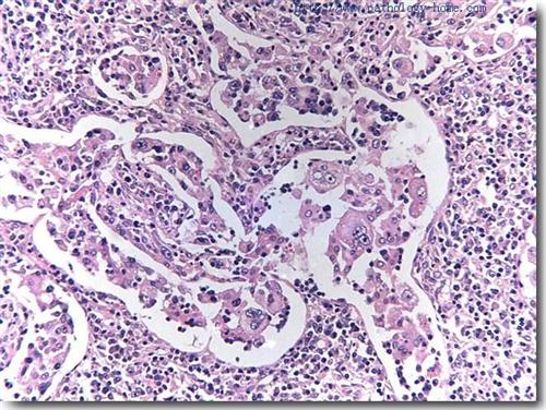
窦性组织细胞增生伴巨大淋巴结病
图片尺寸500x376
心脏的电激动传导 窦房结 结间束 房室结 希氏束 右束支 左束支
图片尺寸1080x810
窦房结 位于 心房壁上右静脉腔入 处口外心深膜面功能特 点自 性律高
图片尺寸1080x810
窦房结细胞(自律细胞)
图片尺寸584x428
房室结房室结的高倍镜观察照片
图片尺寸455x300
而节律性指挥这些"壮汉"的就是心肌细胞中的那些自律细胞,窦房结归类
图片尺寸4000x2250
许多人都听说过心脏的"总指挥"窦房结,对"传令官"房室结却比较陌生
图片尺寸589x440
重大进展!陈义汉等通过手动分离窦房结细胞揭示其潜在标志物
图片尺寸640x466
心室肌细胞(工作细胞,快反应细胞)特点ii期平台期:1.
图片尺寸1080x540
261心肌的生理特性4兴奋性—期前收缩,代偿间歇自律性—窦房结细胞
图片尺寸1080x1439
窦房结位于右心房接近上腔静脉入口处,呈长椭圆形,含有起搏细胞和神经
图片尺寸350x200
伴有巨大淋巴结病的窦性组织细胞增生症(shml)
图片尺寸814x1181
大鼠肝窦内皮细胞
图片尺寸1600x1200
图中所示结核结节中箭头所指的细胞是
图片尺寸801x615