第三磨牙坏了

乳磨牙大面积龋坏缺损,充填材料反复脱落,继发龋形成,这个时候 - 抖音
图片尺寸1920x932
牙齿烂成这样
图片尺寸914x834
孩子三岁,前面三个门牙表面破损,并且边缘发白,露出里面黄色.
图片尺寸980x735
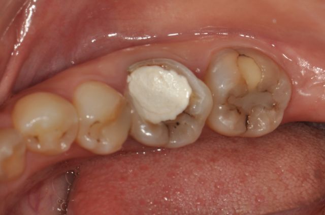
第三前磨牙中间长出了很小的牙
图片尺寸523x733
在下面倒数第三颗牙齿.
图片尺寸640x854
案例二:前牙发黑传统修复需磨牙做冠,即刻嵌体修复不伤牙体修复如新!
图片尺寸640x425
最近拔除的一颗弯根下颌第三磨牙
图片尺寸620x411
智齿,又叫第三磨牙,是生长在牙列最末端的牙齿,很多人叫它"尽头牙"
图片尺寸570x587
3岁半小孩左边大牙齿坏了.一个月时间都不到右边的也开始空洞.
图片尺寸390x520
下牙左边从最里面数第三颗牙齿已咬合就会有些疼痛.
图片尺寸780x1040
二三十岁的年轻人,第三恒磨牙(尽头牙)阻生的(长不出来)蛮多.
图片尺寸690x497
小孩磨牙龋坏缺失怎么办
图片尺寸640x884
这颗牙出现了咬合疼痛,去医院治疗医生把牙齿磨掉一半.
图片尺寸612x816
我的牙齿坏死了,近期来经常牙齿痛,就是最上面那两个,是虫吃了吗,好想
图片尺寸600x338
最近拔除的一颗弯根下颌第三磨牙_kq88口腔外科网
图片尺寸620x411
拔尽头牙图片大全
图片尺寸640x853
第三磨合牙外面长了一个小小的牙齿,要拔吗?
图片尺寸895x576
坏┏鱿终6个症状,赶紧看医生
图片尺寸1200x900
第三磨牙4根完整拔除一例
图片尺寸497x330
听说过三,四年就坏掉了是真的?
图片尺寸400x232