第五脑室

脑室 透明隔间腔 (第五脑室 第五脑室) 第五脑室
图片尺寸1080x810
第五脑室是透明隔腔吗?_医学界-助力医生临床决策和职业成长
图片尺寸389x391
"第五脑室"就是透明隔腔吗?
图片尺寸1080x1428
第五脑室你见过吗这些变异影像图是时候晒一晒了
图片尺寸468x570
第五,六脑室及透明隔间腔 第五脑室:又称透明隔腔.
图片尺寸1080x810
第三脑室上部层面
图片尺寸1080x810
无忧文档 所有分类 医药卫生 临床医学 脑室系统上一页第22页 下一页
图片尺寸1080x810
断层解剖头部ppt
图片尺寸1080x810
脑室系统和脑脊液循环 中央部 3脑室 第3脑室
图片尺寸1080x810
第四脑室:前界(底):中脑,脑桥,延髓外侧界:上,中,下小脑脚上界(顶):上
图片尺寸1080x654
第五脑室是透明隔腔吗?_医学界-助力医生临床决策和职业成长
图片尺寸622x636
第四层三脑室下部层面
图片尺寸1080x810
脑室 侧脑室 室间孔 第三脑室 中脑水管 第四脑室 正中孔 外侧孔 蛛网
图片尺寸1080x810
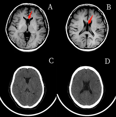
第五脑室真不是透明隔腔不能再错了
图片尺寸512x512,vergae腔 [第六脑室](虚箭)](https://i.ecywang.com/upload/1/img0.baidu.com/it/u=834936400,3934517483&fm=253&fmt=auto&app=138&f=JPEG?w=344&h=398)
透明隔间腔 [第五脑室](实箭),vergae腔 [第六脑室](虚箭)
图片尺寸344x398
脑室系统解剖(二)
图片尺寸1080x656
大脑解剖功能大脑解剖功能 半球的内侧面 中央旁小叶 胼胝体 第五脑室
图片尺寸1080x810
Ⅲ脑室下部层面
图片尺寸1080x810
脑室系统结构
图片尺寸1080x810
两侧脑室借室间孔,与第三脑室相通,室腔内有脉络丛.3.
图片尺寸785x630