第五跖趾关节

第5跖骨基底部骨折
图片尺寸1425x1983
第五跖骨基底部骨折的治疗讲课适用
图片尺寸920x690
左足第五跖骨
图片尺寸1140x1430
左脚第五跖骨骨折
图片尺寸1536x2048
左脚第五趾骨基底骨折恢复过程记录 - 知乎
图片尺寸720x1058
左足第五跖骨基底部骨折
图片尺寸1488x1984
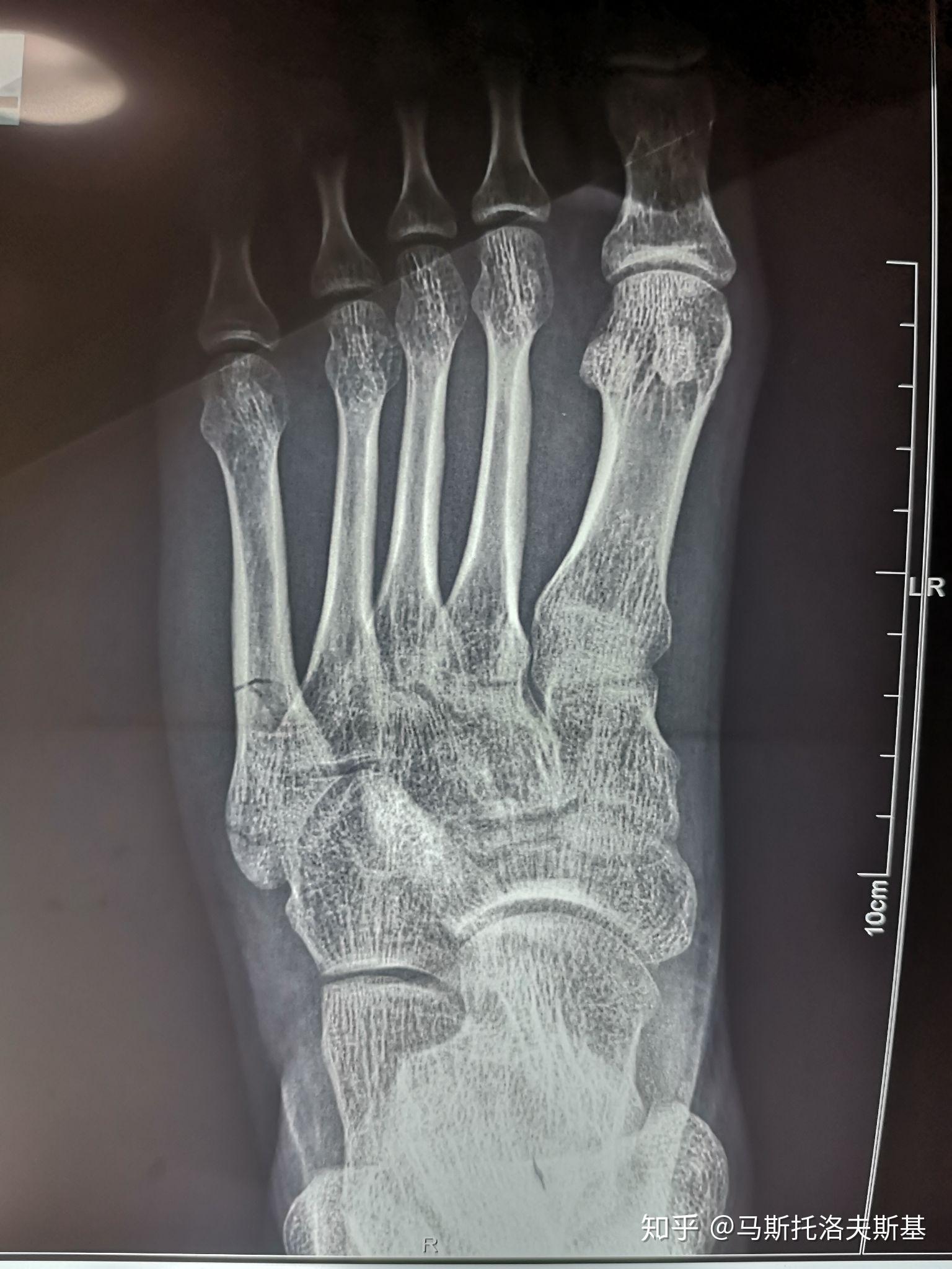
左脚第五跖骨骨折
图片尺寸1536x2048
第五趾跖骨骨折多久可以走路? - 知乎
图片尺寸1920x2560
第五跖骨基底部骨折丨表现,分型,鉴别
图片尺寸563x937
第五跖骨骨折日记
图片尺寸1440x1559
第五跖骨基底部陈旧骨折的认识与处理
图片尺寸608x463
第五跖骨基底部陈旧骨折的认识与处理
图片尺寸390x292
第五跖骨基底骨折40天复查 骨折40天了,还有一点缝,脱拐走路一星期
图片尺寸960x1280
第5跖骨基底部骨折
图片尺寸1435x1989
第五趾跖关节半脱位
图片尺寸780x1040
右足第五跖骨骨折保守治疗
图片尺寸4032x3024
左脚第五跖骨基底部骨折
图片尺寸885x1180
第五跖骨基底部骨折小记
图片尺寸1536x2048
第五跖骨基部骨折,已经快一周了,平时也不很肿,已固定处理,但最近晚上
图片尺寸765x1024
左脚第五跖骨骨折
图片尺寸1536x2048