第五跖骨

第五跖骨基底部骨折的治疗讲课适用
图片尺寸920x690
9月26日,踢球落地崴脚,第二天拍片发现第五跖骨骨折,打石膏38天了
图片尺寸1048x1397
左脚第五跖骨骨折
图片尺寸1536x2048
第五跖骨骨折1个月 从2月13到3.14,骨折30天了,满一个月了.
图片尺寸900x1280
第五跖骨基底部骨折后续
图片尺寸1080x1150
脚第5跖骨骨折35
图片尺寸4344x5792
左足第五跖骨基底部骨折
图片尺寸1488x1984
第五跖骨基底骨折40天复查 骨折40天了,还有一点缝,脱拐走路一星期
图片尺寸960x1280
记录右脚第五跖骨骨折的日子
图片尺寸887x1920
第5跖骨基底部骨折
图片尺寸1435x1989
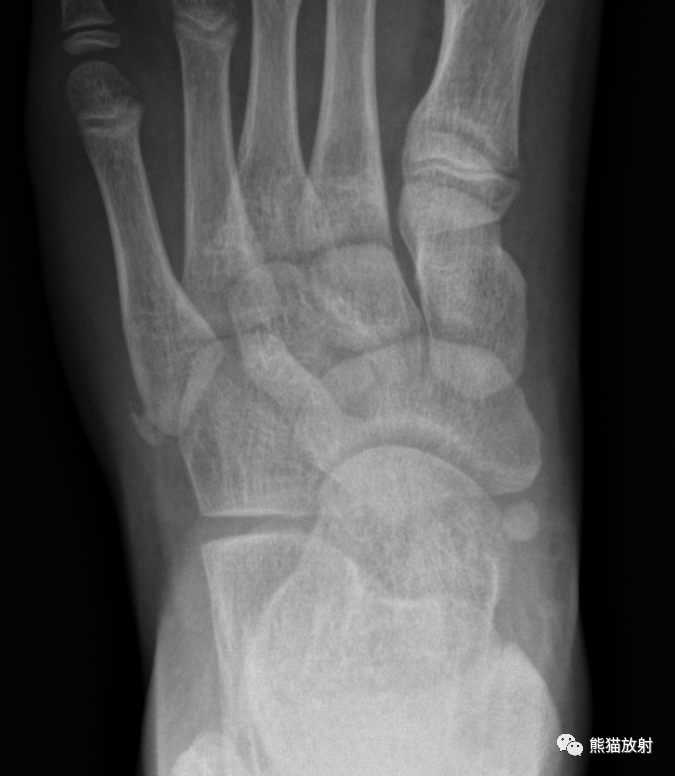
沿第五跖骨基底部长轴方向走行透亮影,骨折线多为横行
图片尺寸640x644
右脚第五跖骨粗隆疼痛还能跑步吗?
图片尺寸686x600
x线诊断为左足第5跖骨基底部骨折,请问严重吗?如何尽快恢复?
图片尺寸3072x2304
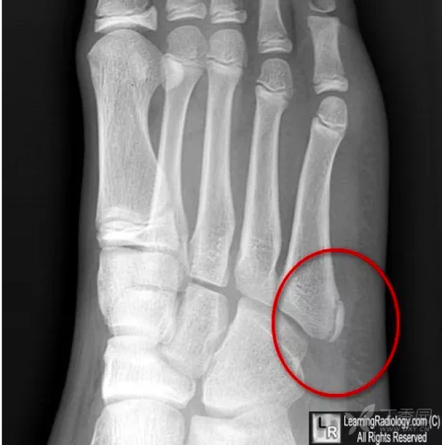
第五跖骨基底部骨折丨表现分型鉴别
图片尺寸675x776
第五跖骨基底部骨折2020
图片尺寸974x1731
左脚第五跖骨基底部骨折
图片尺寸885x1180
左脚跖骨第五基地骨骨折
图片尺寸1536x2048
左足第五跖骨
图片尺寸1140x1430
第五跖骨基底部骨折丨表现分型鉴别
图片尺寸563x937
第五跖骨骨折1个月 从2月13到3.14,骨折30天了,满一个月了.
图片尺寸1200x1280