第六脑室ct图片

只好再复查个头ct(20240125)左侧额叶脑沟仍见高密度影嘱去神外科会诊
图片尺寸4012x2716
值班必备 | 急诊颅脑ct常见的八种疾病_效应_高密度_大脑
图片尺寸640x666
脑ct对人体有没有伤害?医生揭晓答案
图片尺寸640x580
第五,六脑室
图片尺寸2592x1552
后堵管感染,河北转广州高端医院但治4个月仍意识不清_头颅_脑室_给予
图片尺寸558x545
医学影像 #医学生 #放射科 #医路有你 #医路同行 ,再 - 抖音
图片尺寸1440x2560
幼童外伤癫痫术后脑积水,外院83天5次失败手术致重颅内感染高热_脑室
图片尺寸641x829
摔倒短暂昏迷后未重视,小伙险失语丢命,医生:摔到头部
图片尺寸1056x900
图-9:2022年11月25日头颅ct脑室分流管腹腔端内置术8天即2022年11月25
图片尺寸525x521
小美术前的脑部ct片在此情况下,以陈建良教授为学科带头人的中大八院
图片尺寸2736x3648
收入急诊的第一时间,经过头颅 ct 检查,结果令人揪心:左侧颞枕叶
图片尺寸783x419
至河北省保定市某三甲医院,查头颅ct示"双侧额叶及顶叶多发脑挫裂伤
图片尺寸640x710
头ct
图片尺寸3024x4032
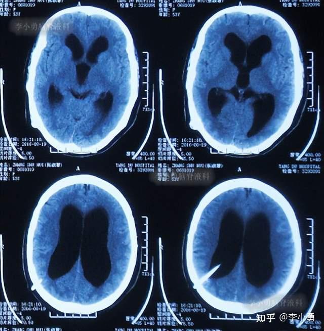
进行了头颅mri和头颅ct示脑室扩张,脑积水
图片尺寸640x654
定量化alberta脑卒中项目早期ct评分(aspects),该评分将mca供血区各
图片尺寸1080x854
出现发热,给予抗感染治疗5天即2020年4月30日,查头颅ct示脑室仍扩张
图片尺寸520x503
车祸脑和全身多处重伤深昏迷,内镜三室造瘘术 脑室引流术失败仍脑积水
图片尺寸640x508
基线上 2cm第四脑室;3cm 鞍上池,环池;4cm第三脑室,四叠体池;5cm侧
图片尺寸640x480
期间,患者仍走路困难,期间在家附近的医院查颅脑核磁(图-5)和ct(图-6)
图片尺寸663x831
1入院头颅ct.jpg
图片尺寸3024x4032