第四脑室CT

正常颅脑ct表现:四脑室(蝶鞍)层面 表现:四脑室(蝶鞍)
图片尺寸1080x810
第四脑室单纯囊性占位
图片尺寸786x962![【读片】一例四脑室肿瘤 [病例帖]](https://i.ecywang.com/upload/1/img2.baidu.com/it/u=2293178922,672526870&fm=253&fmt=auto&app=138&f=JPEG?w=500&h=476)
【读片】一例四脑室肿瘤 [病例帖]
图片尺寸1252x1192![【读片】一例四脑室肿瘤 [病例帖]](https://i.ecywang.com/upload/1/img1.baidu.com/it/u=82500574,1933563363&fm=253&fmt=auto&app=138&f=JPEG?w=500&h=476)
【读片】一例四脑室肿瘤 [病例帖]
图片尺寸1252x1192
外侧裂 中脑 小脑蚓 四叠体池 颞叶 桥脑 小脑半球 四脑室
图片尺寸1080x810
儿童四脑室巨大肿瘤病例分享
图片尺寸2667x2000
指出患儿为第四脑室肿瘤并伴有严重脑积水,病情危重,尽快完善了头部ct
图片尺寸1074x535
图-6:2012年8月30日头ct脑室分流术后仍脑积水图-7:2012年8月30日入院
图片尺寸545x536![【病例讨论】6岁半儿童四脑室巨大占位 [病例帖]](https://i.ecywang.com/upload/1/img1.baidu.com/it/u=354736821,1052167867&fm=253&fmt=auto&app=138&f=JPEG?w=282&h=500)
【病例讨论】6岁半儿童四脑室巨大占位 [病例帖]
图片尺寸1840x3264
第四脑室肿瘤-ct-病理已公布
图片尺寸1527x897
术后第三天ct显示第四脑室已部分通畅.
图片尺寸2667x2000
第四脑室结节伴积水
图片尺寸621x633
2岁小儿第四脑室巨大恶性肿瘤手术成功
图片尺寸1136x772
三甲读片 | 典型四脑室病变,过目不忘_医学界-助力医生临床决策和职业
图片尺寸378x382
术前ct:第四脑室可见类圆形团块状病变,密度稍高,脑沟不明显,脑室扩张
图片尺寸1080x821
贺晓生教授谈手术四脑室肿瘤手术切除
图片尺寸1440x1080
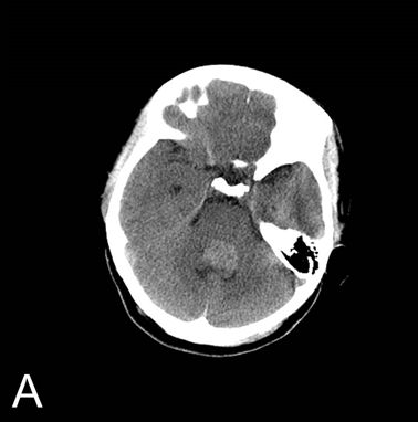
ct轴状位片示第四脑室明显扩张
图片尺寸784x780
第四脑室肿瘤-ct-病理已公布
图片尺寸1008x999
儿童四脑室巨大肿瘤病例分享
图片尺寸2667x2000![【病例讨论】四脑室占位 [病例帖]](https://i.ecywang.com/upload/1/img2.baidu.com/it/u=1516578580,2372782160&fm=253&fmt=auto&app=138&f=JPEG?w=500&h=666)
【病例讨论】四脑室占位 [病例帖]
图片尺寸640x853