管状腺瘤病理

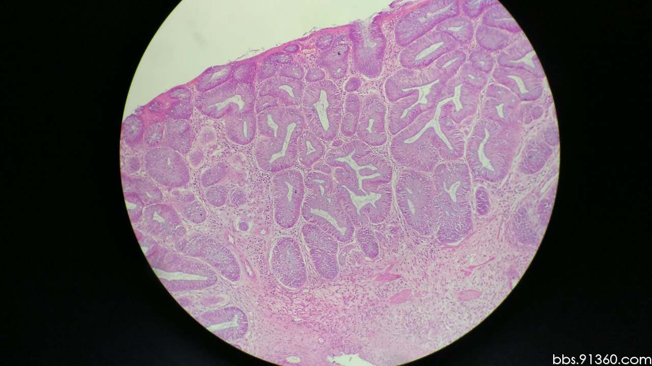
跟图学:管状腺瘤 - 病理杂谈 - 91360病理论坛
图片尺寸640x512
结肠息肉 管状绒毛状腺瘤伴高级别上皮内瘤变讨论病例【ibd病理群病例
图片尺寸1280x720
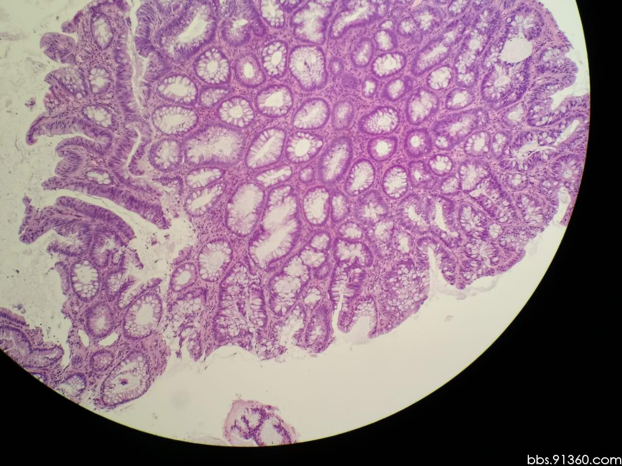
结肠绒毛-管状腺瘤
图片尺寸4032x3024
升结肠管状腺瘤伴低级别讨论病例山东省消化道早癌病理群
图片尺寸1920x1080
内镜医师学病理知识六绒毛状管状腺瘤病理图谱
图片尺寸502x274
结肠绒毛-管状腺瘤
图片尺寸4032x3024
图管状腺瘤详细图解唾液腺良性肿瘤的临床病理
图片尺寸671x638
升结肠管状腺瘤伴低级别讨论病例山东省消化道早癌病理群
图片尺寸1920x1080
升结肠管状腺瘤伴低级别讨论病例山东省消化道早癌病理群
图片尺寸1920x1080
升结肠管状腺瘤伴低级别讨论病例山东省消化道早癌病理群
图片尺寸1920x1080
胃窦管状腺瘤,局灶呈高级别上皮内瘤变讨论2017.06.
图片尺寸4032x3024
行肠镜示结肠多发息肉,行内镜下圈套电切,术后病理提示管状腺瘤
图片尺寸680x382
升结肠管状腺瘤伴低级别讨论病例山东省消化道早癌病理群
图片尺寸1920x1080
升结肠管状腺瘤伴低级别讨论病例山东省消化道早癌病理群
图片尺寸1920x1080
低级别管状腺瘤2016.11.9【91360消化沙龙病例193】
图片尺寸1280x960
胃底病变esd 管状腺癌讨论病例【山东省消化道早癌病理群】
图片尺寸3968x2976
内镜医师学病理知识五管状腺瘤病理图谱
图片尺寸502x274
乳腺管状腺瘤案例2016.2.25【91360沙龙案例19——乳腺】
图片尺寸1280x960
管状腺瘤案例2016.5.18【91360消化沙龙病例99】
图片尺寸800x600
图管状腺瘤详细图解唾液腺良性肿瘤的临床病理
图片尺寸677x568