粪石影

粪石(影像学检查)
图片尺寸3047x1604
阑尾粪石(阑尾钡餐显示)典型影像
图片尺寸1700x1448
箭头所指为迂曲细长的阑尾,可见充盈缺损的粪石影
图片尺寸450x600
图片
图片尺寸537x440
(阑尾粪石)
图片尺寸640x329
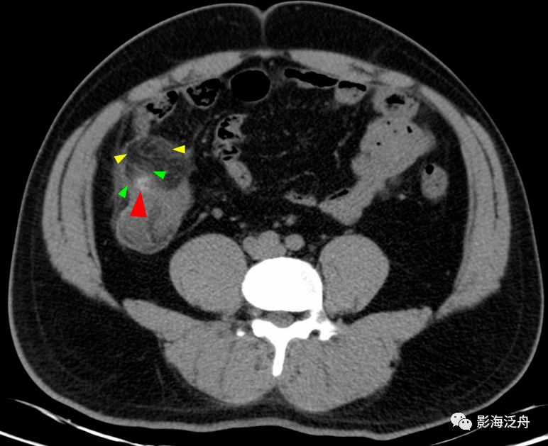
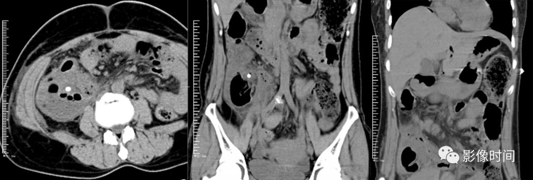
阑尾增粗,肿胀,阑尾口见粪石,周围脂肪间隙模糊,见索条影,曲面重建可
图片尺寸1080x444
全部讨论(33) greengel 11-19 22:25 阑尾区高密度,考虑粪石
图片尺寸3456x4608
这组图片你一定需要_粪石
图片尺寸1080x370
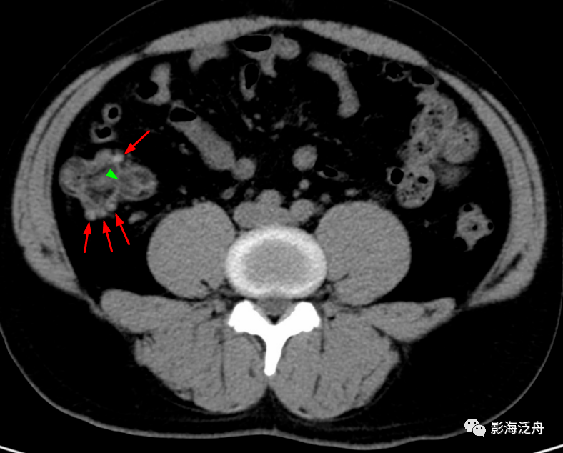
阑尾区局部密度增高,病变周围脂肪间隙模糊,阑尾腔内见高密度粪石影
图片尺寸501x667
这组图片你一定需要_粪石
图片尺寸1080x365
小心误诊,这可不是急性阑尾炎!
图片尺寸451x378
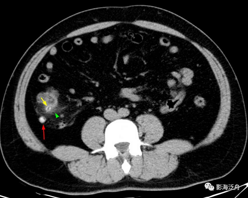
盲肠憩室内环形粪干(红箭),憩室周围无渗出;盲肠憩室内结节状粪石
图片尺寸788x634
炎伴阑尾周围炎;若阑尾无显示,但阑尾区有粪石出现且伴有盲肠周围炎
图片尺寸1080x329
研究发现用ct对小肠粪石与粪便进行评估,认为小肠内界限清晰,周围绕以
图片尺寸1080x1236
粗(管腔直径>7mm)阑尾壁增厚(大于3mm)阑尾粪石阑尾周围脂肪内条纹影
图片尺寸1080x779
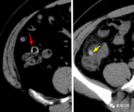
盲肠前壁的憩室炎,憩室内含高密度粪石影(红箭头),离憩室最近的地方即
图片尺寸772x629
阑尾根部(黄箭)稍增粗,壁厚而强化,近端管腔内见高密度粪石影,注意
图片尺寸868x695
研究发现用ct对小肠粪石与粪便进行评估,认为小肠内界限清晰,周围绕以
图片尺寸1080x1229
(3)ct检查:平扫见右下腹阑尾内粪石,阑尾增粗,管壁毛糙,周围脂肪间隙
图片尺寸812x662
meckel憩室
图片尺寸1440x1080