纤维桩核

【牙科技术知识分享】纤维桩临床使用心得
图片尺寸560x532
纤维树脂桩核临床应用技术关键点
图片尺寸1155x866
纤维树脂桩核临床应用技术关键点
图片尺寸1155x866
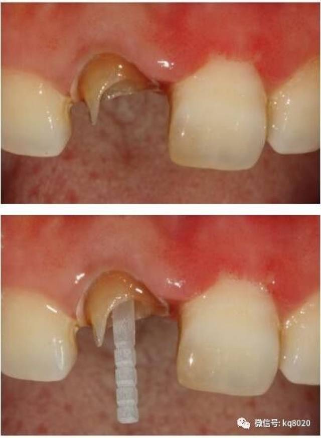
纤维桩临床操作步骤
图片尺寸440x490
纤维树脂桩核临床应用技术关键点
图片尺寸1155x866
纤维桩加树脂核,是目前认为比较好的一种材料.
图片尺寸558x414
纤维树脂桩核临床应用技术关键点
图片尺寸1155x866
纤维桩
图片尺寸431x292
【病例】46重度弯曲根管治疗 纤维桩树脂核 全瓷冠修复
图片尺寸746x613
一例纤维桩,冠修复——闫阿强
图片尺寸620x465
纤维桩修复
图片尺寸620x465
p>纤维桩是一种新型的非金属复合牙科修复材料,常与树脂核及冠修复体
图片尺寸433x292
纤维桩牙齿美容性病例
图片尺寸499x443
纤维树脂桩核临床应用技术关键点
图片尺寸560x546
桩金属桩纤维桩还是瓷桩之三
图片尺寸720x400
【病例】46重度弯曲根管治疗 纤维桩树脂核 全瓷冠修复
图片尺寸828x632
纤维桩技术及其在临床的应用
图片尺寸1080x810
松风病例秀妙用树脂复杂冠根折纤维桩断冠再接病例
图片尺寸1080x726
萝卜代型纤维桩核,hri瓷修复 张霄炎
图片尺寸620x413
纤维桩临床操作步骤视频
图片尺寸407x554