纤维灶 肺内

1,肺纤维灶:肺内遗留病灶,病灶小则不用担心 2,钙化灶:多是肺结核
图片尺寸1707x1280
【纤维灶】一般就是结节. 【钙化灶】大多数是良性.
图片尺寸1690x1280
【纤维灶】一般就是结节. 【钙化灶】大多数是良性.
图片尺寸1718x1280
肺上有了纤维灶有没有可能是肺癌
图片尺寸700x623
报告描述:纤维灶,这是什么,会不会病变?_肺部_体检_组织
图片尺寸1200x841
肺纤维灶:简单说:肺纤维灶即为肺纤维化.
图片尺寸1707x1280
1,纤维灶,这个一般是指良性病变,特指慢性炎症后遗灶,就是说这个地方
图片尺寸853x1280
"阳康"后,ct查出肺部条索影,纤维灶到底要紧吗?胸科专家带来解答
图片尺寸640x579
11个肺ct报告的潜台词,看一遍就能懂 1,纤维灶:一般指良性病变,指曾经
图片尺寸1730x1280
肺纤维化(肺纤维化最新治疗方案)
图片尺寸420x280
一例肺间质性纤维化
图片尺寸1602x1128
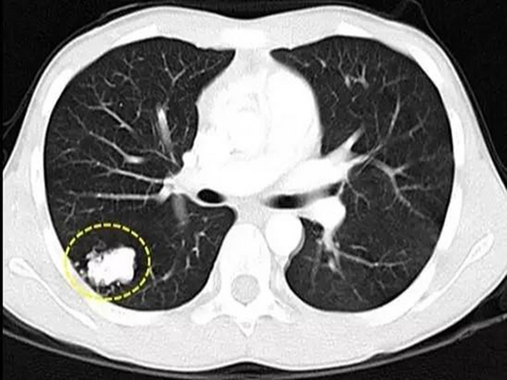
查出肺纤维灶,跟踪4年半,长成肺腺癌
图片尺寸780x421
1,纤维灶(一般是结节) 2,钙化灶(一般是良性) 3,粟粒性肺结节(多是
图片尺寸1707x1280
肺纤维化
图片尺寸2048x1582
原发性肺间质纤维化
图片尺寸334x313
肺纤维化
图片尺寸1800x1283
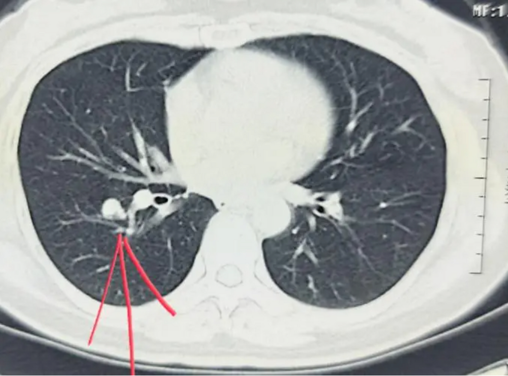
2020年10月ct:右肺上叶少量纤维灶,未显示明确胸膜黏连,增厚征象
图片尺寸3498x2592
什么叫肺部纤维增殖灶?
图片尺寸711x919
发现肺纤维灶,该怎么办?
图片尺寸960x720
肺纤维灶是什么意思?会长成肺癌吗?该怎么办更安全?
图片尺寸582x384