纤维灶 肺部

右肺纤维化病灶图片
图片尺寸536x804
ct时在左上肺发现了一长串的纤维灶,毕竟是出现在癌中之王的肺部里
图片尺寸700x623
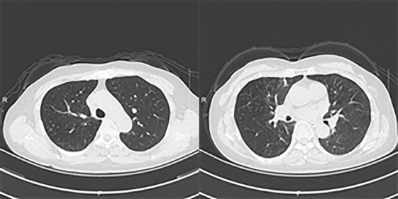
双肺纤维化病灶,说明病史很长.斑片状影,说明是活动性病灶.
图片尺寸640x640
左下肺肺纤维化病灶图片
图片尺寸792x528
肺ct 怎么看,一篇交给你,如果大家还有相关的疑问,都可以 - 抖音
图片尺寸1080x1918
弥漫性肺间质纤维化
图片尺寸2000x2667
查出肺纤维灶,跟踪4年半,长成肺腺癌
图片尺寸780x421
ct显示双肺支气管壁增厚伴分泌物,右肺上叶多发小结节,两肺少许纤维灶
图片尺寸561x281
头条问答 - 双肺多发纤维化钙化灶,会出现什么问题?(14个回答)
图片尺寸640x426
什么叫肺部纤维增殖灶?
图片尺寸711x919
2020年10月ct:右肺上叶少量纤维灶,未显示明确胸膜黏连,增厚征象
图片尺寸3498x2592
肺纤维化
图片尺寸2048x1582
查体报告中的肺纤维灶是什么东西到底是不是早期肺癌
图片尺寸451x280
报告描述:纤维灶,这是什么,会不会病变?_肺部_体检_组织
图片尺寸1200x841
肺纤维灶和肺纤维化的区别,一个是疤痕一个是致死性疾病
图片尺寸640x258
肺部纤维条索灶在ct上什么表现代表了什么意义医生讲解
图片尺寸1024x576
肺纤维灶是什么意思?会长成肺癌吗?该怎么办更安全?
图片尺寸582x384
肺纤维灶是什么意思?会长成肺癌吗?该怎么办更安全?
图片尺寸640x388
发现肺纤维灶,该怎么办?
图片尺寸960x720
肺纤维化会有什么后果? - 知乎
图片尺寸2560x1712