纵隔不宽

科普节|有点神秘的"纵隔"是个什么东东?
图片尺寸640x689
纵隔增宽一定异常吗?
图片尺寸3456x1796
纵隔增宽
图片尺寸279x300
纵隔增宽一定异常吗?
图片尺寸3328x1796
2023年2上旬,陈万生教授医疗团队完成一例胸腔镜左巨大纵隔 - 抖音
图片尺寸1920x1418
纵隔增宽一定异常吗?
图片尺寸3504x1796
最简单的胸片可能看到表征是纵隔增宽(图3),已有主动脉破裂出血者可
图片尺寸900x690
胸片成像右纵隔增宽,外凸是什么病
图片尺寸427x568
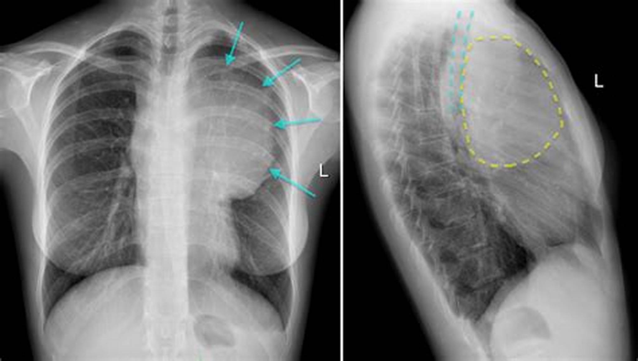
图1 胸部x线片 答案: 胸片(如图2)显示前纵隔肿块与
图片尺寸365x435
纵隔
图片尺寸2048x1158
下纵隔影增宽
图片尺寸700x552
纵隔增宽一定异常吗?
图片尺寸1500x2004
大量积液:(第2前肋水平以上)纵膈向健侧移位,横膈下移,肋间隙变宽.
图片尺寸636x397
【请教】右上纵隔有病变吗?
图片尺寸640x853
前上纵隔增宽高手来看看
图片尺寸2448x3264
(介入前胸片可见纵膈增宽)
图片尺寸1600x1200
前上纵隔增宽高手来看看
图片尺寸3264x2448
纵隔呈矢状位,位于胸腔正中偏左,上窄下宽,前短后长.
图片尺寸665x623
男,52岁,外伤就诊.皮下积气,纵隔积气 .版权声明
图片尺寸1080x810
上通常表现为纵隔异常增宽(可表现为右气管旁带增宽以及纵隔线移位等)
图片尺寸648x623