纵隔气肿图片

纵隔气肿——不得不防的罕见胸外科疾病
图片尺寸1200x1600
纵膈气肿是指因各种原因致空气进入了纵隔胸膜内结缔组织间隙之间
图片尺寸800x980![纵隔气肿一例 [病例帖]](https://i.ecywang.com/upload/1/img0.baidu.com/it/u=121311445,2682409084&fm=253&fmt=auto&app=138&f=JPEG?w=500&h=500)
纵隔气肿一例 [病例帖]
图片尺寸512x512
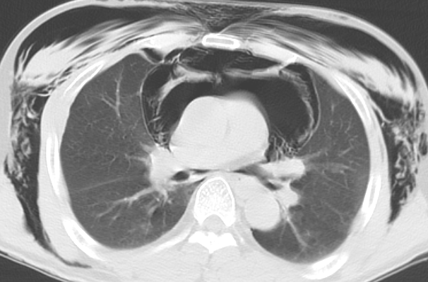
又一例纵隔气肿
图片尺寸3968x2976
又一例纵隔气肿
图片尺寸3968x2976
秒懂「肺气肿」,赶紧收藏这些经典图谱_医学界-助力医生临床决策和
图片尺寸515x831
又一例纵隔气肿
图片尺寸3968x2976
又一例纵隔气肿
图片尺寸3968x2976
最顶上靠近纵膈的那个泡泡(黄剪)是皮下气肿或胸膜下气肿吹起的脂肪
图片尺寸2667x2000
nejm:与流感a相关的纵隔气肿
图片尺寸650x298
气肿:支气管或肺泡破裂后,空气进入肺间质所引起,气体可跑到纵隔及皮
图片尺寸507x438
术前ct提示纵隔气肿,左侧液气胸
图片尺寸705x520
病例41纵膈气肿胸片ct
图片尺寸2592x1944
自发性纵隔气肿_纵隔疾病_纵隔疾病相关疾病 - 好大夫在线
图片尺寸3648x2736
一文总结「少见的杀手」纵隔张力性气肿全貌
图片尺寸606x399
纵隔气肿ppt
图片尺寸1080x810
病例41纵膈气肿胸片ct
图片尺寸2592x1944
原创气管切开术后纵膈气肿气胸
图片尺寸1446x1782
纵隔气肿——中心医院放射科胸部病例集锦
图片尺寸2667x2000
【原创】气管切开术后纵膈气肿气胸
图片尺寸1464x1398