纵隔气肿ct图片

又一例纵隔气肿
图片尺寸3968x2976
又一例纵隔气肿
图片尺寸3968x2976
出院时胸片胸部ct:右侧上纵隔肿物,侵犯气管,与食管,右侧无名动脉,上
图片尺寸2272x1704
病例41纵膈气肿胸片ct
图片尺寸2592x1944![纵隔气肿一例 [病例帖]](https://i.ecywang.com/upload/1/img0.baidu.com/it/u=121311445,2682409084&fm=253&fmt=auto&app=138&f=JPEG?w=500&h=500)
纵隔气肿一例 [病例帖]
图片尺寸512x512
又一例纵隔气肿
图片尺寸3968x2976
病例41纵膈气肿胸片ct
图片尺寸2592x1944
又一例纵隔气肿
图片尺寸3968x2976
nejm:与流感a相关的纵隔气肿
图片尺寸650x298
病例41纵膈气肿胸片ct
图片尺寸2592x1944
自发性纵隔气胸一例
图片尺寸4032x3024
纵膈气肿是指因各种原因致空气进入了纵隔胸膜内结缔组织间隙之间
图片尺寸800x980
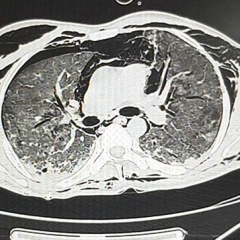
图4 轴向hrct显示纵隔气肿,右气胸和广泛的皮下气肿.
图片尺寸480x480
纵膈气肿ct
图片尺寸1152x898
纵隔气肿——中心医院放射科胸部病例集锦
图片尺寸2667x2000
纵隔气肿——不得不防的罕见胸外科疾病
图片尺寸1200x1600
纵膈气肿ct
图片尺寸1152x898
图a 胸部ct平扫纵隔窗放大上一张下一张
图片尺寸3636x2400
纵隔气肿的鉴别诊断
图片尺寸450x565
前上纵隔增宽高手来看看
图片尺寸3264x2448