纵隔疾病

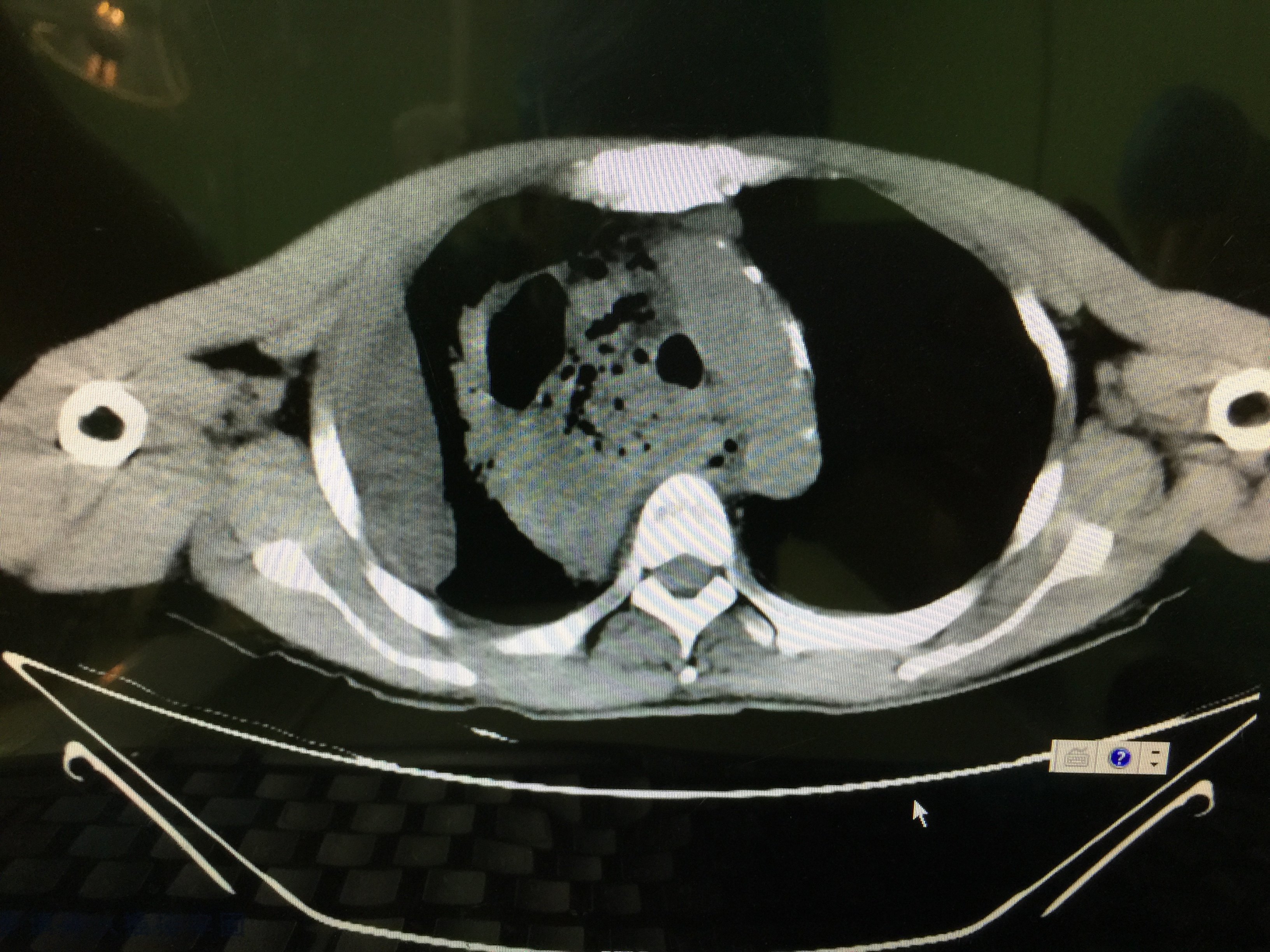
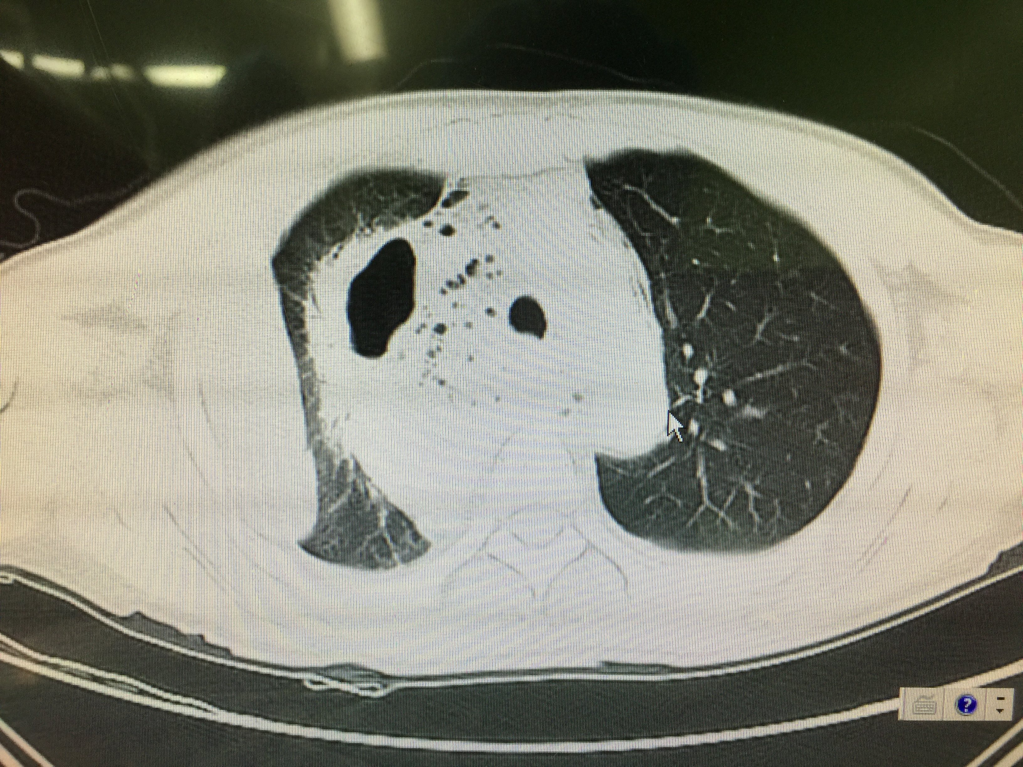
后在郑州某医院进行ct检查,结果提示:右上纵隔恶性占位,上腔静脉受侵
图片尺寸500x273
省立影像读片后纵隔肿瘤2009
图片尺寸960x720
纵膈肿瘤临床表现及围手术期护理pptppt
图片尺寸860x645
纵隔肿瘤(微创)中老龄人,若体检发现有纵隔占位(肿瘤)病变, - 抖音
图片尺寸1212x825
戴主任科普之—纵隔肿瘤预防与治疗
图片尺寸1080x810
纵隔疾病简介护士讲课ppt
图片尺寸1080x810
纵隔气肿——不得不防的罕见胸外科疾病
图片尺寸1200x1600
凶险的纵隔感染 - 好大夫在线
图片尺寸3264x2448
纵隔疾病 改模板ppt
图片尺寸1080x810
纵隔常见疾病的影像学表现ppt
图片尺寸1080x810
急性纵隔炎和慢性纵隔炎(特发性纵隔纤维化)_纵隔疾病_纵隔疾病相关
图片尺寸869x683
戴主任科普之纵隔肿瘤预防与治疗
图片尺寸1080x810
"纵隔"很多人可能没有听过,只听说过横隔 67"纵隔"位于胸廓中,稍稍
图片尺寸1431x1280
凶险的纵隔感染 - 好大夫在线
图片尺寸3264x2448
纵隔疾病课件
图片尺寸920x690
医学影像学纵隔疾病ppt
图片尺寸1152x864
纵隔疾病影像表现
图片尺寸960x720
科普节|有点神秘的"纵隔"是个什么东东?
图片尺寸640x689
发现了前纵隔病灶怎么办:前纵隔病灶的影像学检查与鉴别_纵隔疾病
图片尺寸1200x2576
外科学第八版纵隔肿瘤课件ppt41页
图片尺寸1633x1225