线状表皮痣病理

典型病例:线状表皮痣
图片尺寸1024x768
病历讨论线状表皮痣
图片尺寸600x450
病理检查显示痣细胞巢位于真皮内,其中可见多核痣细胞.
图片尺寸680x544
表皮痣
图片尺寸2048x1536
看图识病线状或螺旋状痣样黑素沉着病
图片尺寸1024x768
皮内痣?讨论病例【91360.软组织180】 - 软组织病理 - 91360病理论坛
图片尺寸1080x1080
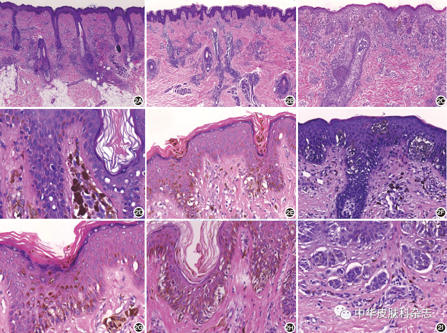
图2婴幼儿先天性色素痣常见组织病理特征2a:痣细胞以毛囊皮脂腺为中心
图片尺寸921x688
表皮痣↑交界痣示意图模型↑01表皮痣与交界痣壹下面就让我们病理医生
图片尺寸932x664
炎症性线状疣状表皮痣一例
图片尺寸640x640
疣状痣病征据介绍,疣状痣(verrucous nevus)也称表皮痣,线状表皮痣等
图片尺寸497x373
会遗传的表皮痣
图片尺寸282x419
是皮内痣吗?中间型? - 华夏病理网论坛
图片尺寸1280x1024
良性肿瘤:表皮痣(疣状痣)症状表现
图片尺寸888x666
临床病例展示炎性线性疣状表皮痣
图片尺寸1280x960
诊断为皮内痣 - 华夏病理网论坛
图片尺寸600x800
胎记纯天然的纹身了解胎记七十二变之表皮痣
图片尺寸584x386
第一节表皮痣
图片尺寸2304x735
表皮痣学生仍需努力.做好我自己患者除局限性色素斑外,无其他疾病.
图片尺寸1024x768
看图识病---线状表皮痣
图片尺寸1600x1200
表皮痣
图片尺寸300x225