组织切片图谱

不同试验组大鼠肝脏组织切片 fig.
图片尺寸1890x2202
组织胚胎学切片考试准备答案ppt
图片尺寸1080x810
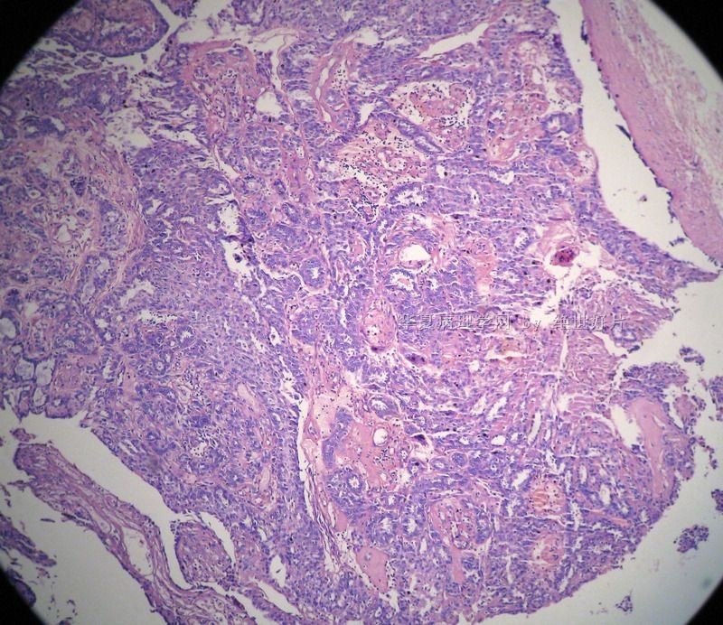
在一例导管内乳头状瘤切片中见到的
图片尺寸800x692
组胚切片复习
图片尺寸1080x810
【求助】骨骼肌病理切片
图片尺寸2592x1728
老师展示的肉芽组织切片我看的4×肉芽组织10×肉芽组织40×肉芽组织
图片尺寸1080x810
组织学与胚胎学实验考切片考试36学时04zjm
图片尺寸800x600
小师弟诚挚邀请各路大神帮我看看这个肝脏组织切片
图片尺寸2448x3264
组织胚胎学切片考试准备答案ppt
图片尺寸1080x810
求助:肝脏组织切片完整,烤片后出现裂纹
图片尺寸4140x3096
肝胆正常组织与肝癌胆管癌组织切片彩色图谱大全
图片尺寸3937x2250
组织胚胎学切片考试准备答案ppt
图片尺寸1080x810
组织胚胎学实验考试切片大全答案
图片尺寸670x503
【求助】求教,如何识别皮肤的he染色切片!
图片尺寸3264x1972
组织学切片辅导ppt
图片尺寸1080x810
学业报告书大一下学期①组织学与胚胎学切片篇
图片尺寸3120x4160
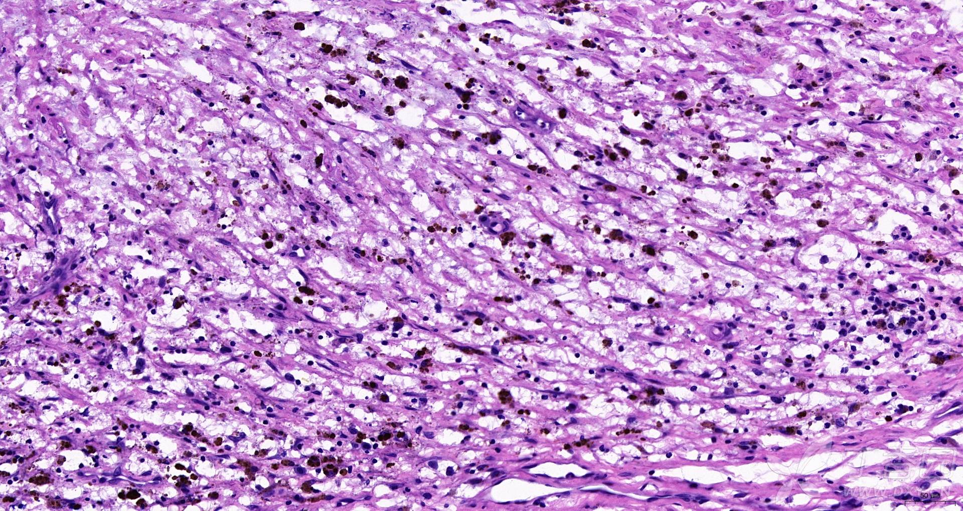
小鼠肝脏组织病理切片he染色
图片尺寸5440x3648
求助:人主动脉he染色切片 谢谢!
图片尺寸1920x1018
组织学与胚胎学切片图ppt
图片尺寸1080x810
组织学与胚胎学切片图ppt
图片尺寸1080x810